
Neuroblastoma is a tumor that develops from the adrenal glands or, less commonly, from the extra-adrenal sympathetic trunk, affecting the retroperitoneal space, chest, and neck. Biopsy results confirm the diagnosis. Treatment may include surgical removal, chemotherapy, radiation therapy, high-dose chemotherapy with stem cell transplantation, cis-retinoic acid, and immunotherapy.
Various types of procedures and studies used to diagnose neuroblastoma. These include:
1. Study medical history and physical examination to obtain information about symptoms, general health, past illnesses, family history, and other risk factors.
2. Laboratory tests for the study of substances in the blood and urine. These include a CBC and an assessment of kidney and liver function.
3. A neurological examination assesses various aspects of brain and nervous system functions, including memory, vision, hearing, muscle strength, balance, coordination, and reflexes. 4. Methods of diagnostic imaging for finding tumors and determining the tactics of further diagnosis and treatment.
- Radiography.
- ultrasound.
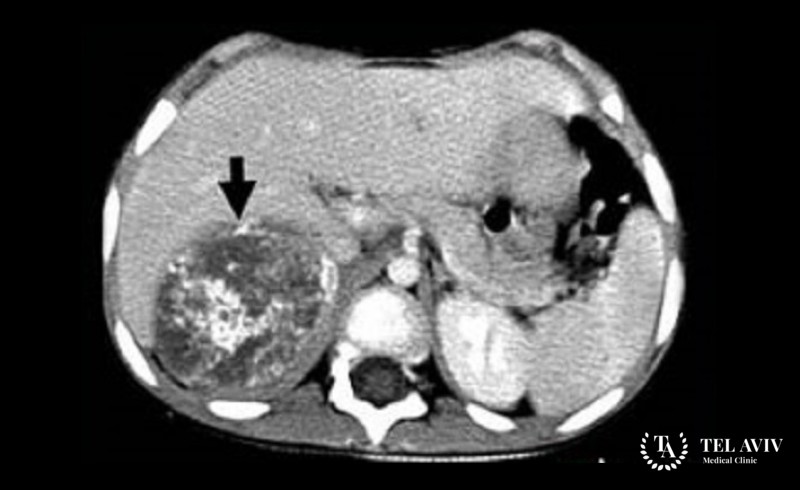
- CT scan.
- Magnetic resonance imaging.
- Whole-body imaging, including bone scintigraphy, PET, or MIBG scanning, is used to look for lesions in other body areas.
- Puncture and bone marrow biopsy.
- Often, a biopsy of the tumor is required to make a correct diagnosis.
The tumor examined for features that are important for diagnosis and treatment. Some neuroblastomas are more aggressive and require more intensive treatment. By the appearance of the cells and the presence of specific gene changes in the tumor, doctors can predict the tumor’s possible response to treatment.
























