
Наличие образований и уплотнений в области шеи всегда пугают родителей, ведь в этом участке близко расположены крупные артерии, головной и спинной мозг. Наиболее опасными считаются новообразования, которые протекают безболезненно и могут длительное время находиться без лечения. Стоит помнить, что запущенная патология крайне часто превращается в злокачественную и ведет к возникновению нежелательных осложнений.
Что такое Дермоидная киста в области шеи у детей?
Дермоидная киста – доброкачественное новообразование, которое развивается из эпидермиса и волос. Опухоль имеет округлую или овальную форму и растет крайне медленно. Образование зачастую возникает в результате аномального развития плода. Дермоидная киста у ребенка формируется в эмбриональном периоде, но ее присутствие не всегда бывает заметным на момент рождения. Такая опухоль характеризуется медленным ростом и, как правило, отсутствием болей и дискомфорта до тех пор, пока не произойдет нагноение кисты или разрыв ее оболочки.
Насколько распространена дермоидная киста в области шеи у детей?
Данное заболевание не имеет широкого распространения, но оно все же может диагностироваться у детей в раннем возрасте. По статистике это одна из самых редких форм кисты, что может усложнить диагностику.
Каковы симптомы дермоидной кисты в области шеи у детей?
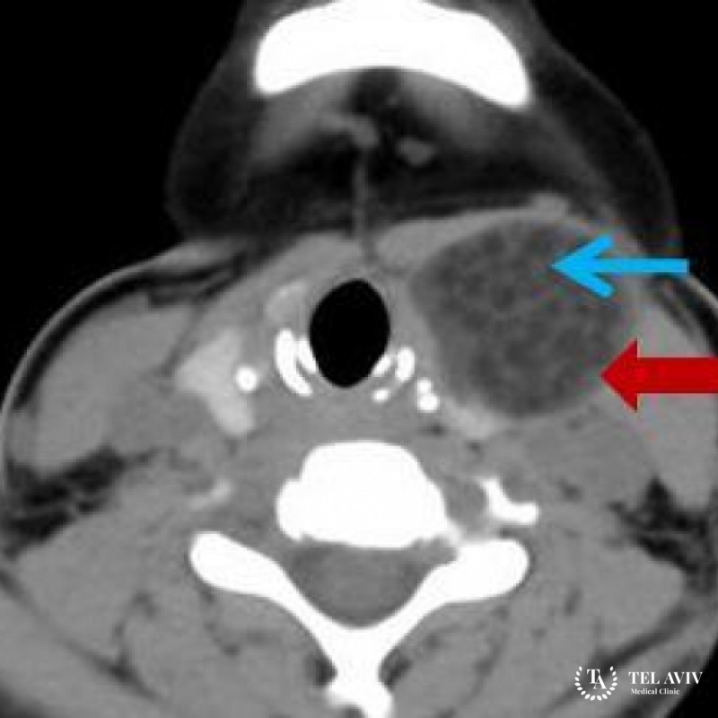
Киста проявляется наличием припухлости на шеи ребенка. Это полость, которая окружена плотной капсулой. Однако в ряде случаев невозможно обнаружить кисту у новорожденного ребенка. Поскольку такие кисты безболезненны, а располагаться они могут далеко от поверхности кожи, обнаружить опухоль не всегда удается сразу. Но если произошло нагноение или капсула кисты разорвалась, то возникают сильные боли. В таком случае пациент нуждается в экстренной госпитализации.
Как лечится дермоидная киста в области шеи у детей?
Дермоидная киста имеет схожие симптомы с некоторыми другими видами опухолей, поэтому перед назначением лечения ребенку обязательно проводится комплексная диагностику, которая может включать в себя: КТ с контрастом для уточнения размеров образования, его локализации, типа и содержимого, ультразвуковое исследование, пункция кисты. Уже после получения всей необходимой информации может быть назначена оптимальная тактика лечения.
На данный момент используются такие способы лечения дермоидной кисты в области шеи у детей:
1. Хирургическое вмешательство. Подавляющее большинство кист находятся близко к поверхности кожи, поэтому их иссечение не представляет технической сложности. Показаниями к проведению оперативного вмешательства являются:
- Размер кисты более 5 сантиметров;
- Рецидив после уже проведенного хирургического лечения;
- Рост и наличие кисты вызывают боли, а также приводят к развитию опасных осложнений;
- Нагноение кисты.
Затягивать с лечением не стоит, так как в случае нагноения кисты или разрыва ее оболочки жизнь ребенка оказывается в серьезной опасности. Обращаться следует только к лучшим специалистам. Врачи израильской клиники Тель Авив Медикал Центр (Ихилов) проводят комплексное обследование ребенка и назначают индивидуальную программу терапии с учетом особенностей развития малыша. Наше отделение оснащено современным оборудованием, с помощью которого можно провести малоинвазивное хирургическое вмешательство и избавить маленького пациента от патологии. Операцию по удалению кисты в Ихилов проводят хирурги Др Арие Диро и Др Ошри Вамерцуг, которые имеют огромный опыт в хирургическом лечении различных образований у детей.
2. Медикаментозное лечение. Проводится для купирования симптомов нагноения дермоидной кисты и для симптоматической терапии в послеоперационный период.
Какова выживаемость при дермоидной кисте в области шеи у детей?
При своевременном обращении за помощью прогноз дается благоприятный. Однако необходимо своевременно поставить диагноз и подобрать оптимальную схему лечения. Лучше всего это сделают именно в нашей клинике. У нас есть все необходимое для качественного лечения. В том числе мы проведем срочную операцию при наличии осложнений в связи с нагноением или разрывом оболочки кисты. Нередко золотые руки специалистов клиники Тель Авив Медикал Центр спасают детские жизни.
Почему для лечения дермоидной кисты в области шеи у детей следует выбрать ТАМС?
- Использование не только наиболее эффективных, но и самых щадящих способов лечения;
- Наличие самого современного и дорогостоящего оборудования – подобным техническим оснащением может похвастаться лишь несколько клиник во всем мире;
- Постоянный уход за юными пациентами, обходительный медперсонал;
- При необходимости родителям больных детей предоставляется профессиональная психологическая поддержка, ведь часто родители находятся в плохом эмоциональном состоянии и нуждаются в помощи;
- Лучшие врачи, имеющие огромный опыт, высокую квалификацию и международное признание;
- Палаты отделения оснащены всем необходимым для комфортного пребывания мамы и малыша, а сотрудники обеспечивают круглосуточный контроль и заботу малышам;
- Демократичные цены на полный спектр медицинских услуг.

























