Астроцитома второй степени злокачественности называется фибриллярной или диффузной. Это глиальная опухоль, возникающая в любом возрасте, в том числе у детей.
Что такое фибриллярная астроцитома?
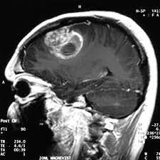
Онкологическая патология, для которой характерно развитие опухолевого очага в области спинного или головного мозга появляется из таких клеток как астроциты, содержащиеся в нейроглии. Вторая стадия роста опухоли еще считается низкозлокачественной, но уже способной к малигнизации. Опухоль имеет выраженные границы, отделяющие ее от здоровых тканей, и медленно увеличивается в размерах.
Насколько распространена фибриллярная астроцитома у детей?
В раннем возрасте патология встречается довольно редко, выявляясь преимущественно у молодых людей. Причины ее возникновения у детей точно не выяснены, но предположительно провоцирующими факторами называют воздействие радиации или онкогенных вирусов, генетическую предрасположенность, наследственные заболевания.
Каковы симптомы фибриллярной астроцитомы у детей?
Заподозрить заболевание могут родители по таким изменениям в поведении и состоянии ребенка:
- Частые головные боли, что связано с ростом опухоли, сдавливающей отдельные участки мозга.
- Нарушение походки и координации движения.
- Повышенная сонливость, вялость, упадок сил.
- Расстройство зрительной функции и непроизвольное движение глазных яблок.
- Позывы к рвоте.
- Головокружение.
- Ухудшение памяти.
- Нарушенная речь.
- Онемение и покалывание в одной части тела.
- Приступы эпилепсии.
- Судороги.
- Потеря массы тела.
Характер симптомов зависит от размера и расположения опухоли, возраста ребенка, сопутствующих заболеваний. У младенцев может наблюдаться увеличение размеров родничка и гидроцефалия.
Как лечится фибриллярная астроцитома?
Чтобы лечение было максимально эффективным, требуется проведение комплексных диагностических мероприятий с использованием лабораторных и инструментальных методов.
Это позволяет обнаружить точную локализацию диффузной астроцитомы, ее величину и интенсивность развития, оценить состояние окружающих тканей. Для определения вида опухоли и степени злокачественности проводится биопсия с изучением взятого образца. В лечении применяется комплексный подход, направленный на удаление опухолевого очага и возможных, распространившихся метастаз.
- На второй стадии целесообразным будет выполнение радикальной резекции путем проведения хирургической операции. После инвазивного вмешательства для закрепления результата и предупреждения рецидивов могут назначаться дополнительные методики.
- Радиотерапия, цель которой – удалить оставшиеся пораженные клетки воздействием ионизирующего облучения.
- Химиотерапия с назначением специальных препаратов, препятствующих делению и распространению опухолевых клеток.
Какова выживаемость при фибриллярной астроцитомы у детей?
Прогноз более благоприятный, если заболевание выявлено на ранних стадиях, и зависит от успешно проведенной операции. При диффузной астроцитоме коэффициент выживаемости составляет более 90%. Неблагоприятный прогноз дается при рецидивах, произошедших в первые годы после лечения, или если была нарушена схема лечения. Поэтому в израильской клинике ТАМС тщательно соблюдают протокол лечения, следуя периодичности его этапов согласно международным стандартам. Радиотерапия всегда проводится только после резекции, что позволяет избежать облучения здоровых тканей уменьшением объемов опухоли и установления ее четких границ. Высокого уровня выживаемости, при таком опасном заболевании как диффузная астроцитома, удается добиться счет объединения всех отделений, расположенных в ТАМС, коллегиального выбора программы лечения и огромного практического опыта специалистов. За маленьким пациентом ведется круглосуточное наблюдение, чтобы в случае необходимости внести корректировку в лечебный процесс.
Почему выбирают Тель Авив Медикал Центр (Ихилов) для лечения фибриллярной астроцитомы у ребенка?
Немаловажное значение в успешном выздоровлении имеет выбор клиники. Поэтому в израильский центр обращаются, зная о высоком уровне медицины и руководствуясь такими критериями:
- Внушительный опыт в лечении фибриллярной астроцитомы и экспертные знания врачей ТАМС, прошедших специальную подготовку и практику.
- Высокий уровень квалификации и профессионализм медицинского персонала.
- В приоритете щадящие методы лечения, что позволяет передовая оснащенность клиники.
- Использование новейших аппаратов и сертифицированных медикаментов.
- Круглосуточное внимание и забота о маленьких пациентов.
- Предоставление уютных палат и полного спектра качественных медицинских услуг по лояльным расценкам.
- Возможность в одном месте пройти весь курс лечения, после чего восстановиться и закрепить результат в центре реабилитации ТАМС.
Врачи:

Нейрохирург, заведующий отделением детской Нейрохирургии

Онколог, зав. департаментом Онкологии головного и спиного мозга

Гематолог, гематоонколог, директор педиатрического отделения детской больницы


























