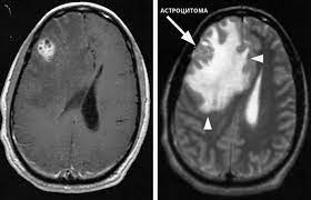
Гигантоклеточные астроцитомы относятся к категории субэпендимарных опухолей. Для выявления патологии первоначальным диагностическим методом является проведение магнитно-резонансной томографии. В ходе обследования образование проявляется солидной размерностью, нечеткими очертаниями. При компьютерной томографии выявляются симметричные кальцинаты согласно проекции на зрительные бугры. Единственный эффективный способ лечения патологии – тотальная резекция пораженного участка.
Симптоматика гигантоклеточной астроцитомы у детей
Признаки развития гигантоклеточной астроцитомы зависят от дислокации опухоли. НА начальной стадии присутствует слабое проявление симптомов. В ходе прогрессирования новообразования симптоматика становится ярко выраженной, негативно сказывается на качестве жизни ребенка. Пациенты жалуются на появление следующих признаков:
- Ребенку сложно удерживать равновесия, нарушается двигательная координация;
- Ухудшается память, познавательные способности;
- Больной страдает от сильных головных болей, головокружений;
- Снижается острота зрения, осязательная чувствительность;
- Ухудшается слух, способность к распознаванию речи;
- У ребенка резко меняется настроение, он становится раздражительным;
- Мелкая моторика нарушается, вероятно появление эпилептических припадков;
- Приступы тошноты, рвоты не связаны с едой;
- Проявление двоения в глазах;
- Ребенок теряет аппетит, чувствует себя уставшим, быстро утомляется.
Диагностика астроцитомы у ребенка
Для своевременного диагностирования патологи необходимо посетить нескольких врачей узкого профиля. Ребенку понадобится консультация нейрохирурга, невролога, онколога, отоларинголога, офтальмолога. Специалисты осмотрят пациента, сформируют комплексный план обследования, включающий:
- Компьютерную томографию;
- Пункцию биологического материала;
- Магнитно-резонансную томографию;
- Биопсию материала.
Специалисты определят психический статус ребенка, исследуют вестибулярный аппарат, проверят зрение, слух. На базе результатов диагностики формируется программа лечения.
Лечение астроцитомы у детей в Tel Aviv Medical Clinic
Крупнейший медицинский центр Израиля обеспечивает комплексную диагностику, лечение маленьких пациентов со всего мира. Детское онкологическое отделение оснащено высококлассными аппаратами, инновационными техническими новинками, позволяющими точно выявить болезнь, разработать максимально эффективную лечебную программу. Специалисты клиник имеют огромный опыт работ с онкологическими заболеваниями, они помогли тысячам детей вернуться к здоровой жизни.
Врачи:

Нейрохирург, заведующий отделением детской Нейрохирургии

Онколог, зав. департаментом Онкологии головного и спиного мозга

Нейрохирург, зам. заведующего отделением детской Нейрохирургии, зав. отделением Эндоскопии головного мозга у детей

Гематолог, гематоонколог, директор педиатрического отделения детской больницы


























