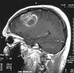
Глиальная опухоль высокой степени злокачественности, глиома головного мозга.
Что такое глиобластома?
Это одна из форм опухолей центральной-нервной системы, возникающая из глиальных клеток, входящих в состав нервной ткани и выполняющих функцию в росте нейронов. Аномальное деление клеток формирует новообразование, которое в случае с глиобластомой характеризуется интенсивным, агрессивным течением и быстрым распространением. Опухоль проникает в здоровые ткани метастазами и не имеет четких границ, что затрудняет ее хирургическое удаление. Провоцирующими ее развитие факторами называют генетические заболевания, сбой в гормональной системе, воздействие радиации, канцерогенов, вирусов. Глиобластома может возникнуть в любом отделе головного мозга.
Насколько распространена глиобластома?
Глиобластома чаще поражает мужчин старше 50 лет, но изредка возникает у молодых людей, подростков и даже детей. Опухоль классифицируется на несколько видов: глиосаркома, гигантоклеточная глиобластома и мультиформная. Последняя считается наиболее агрессивной и опасной, и в редких случаях встречается у детей. При этом возраст и гендерная принадлежность роли не играют. По статистике, данная онкопатология выявляется у четырех человек на сто тысяч.
Какие симптомы имеет глиобластома?
Опухоль отличается быстрым ростом и некрозом тканей, интенсивно прогрессирует, почему и выявляется уже на 4 стадии. От родителей зависит, насколько своевременно будет начато лечение заболевания, которое можно определить по таким характерным признакам.
- Выраженные головные боли.
- Головокружение.
- Скачки артериального давления.
- Тошнота, сопровождаемая рвотой.
- Судороги.
- Ухудшение памяти.
- Потеря аппетита и веса.
- Слабость, вялость, сонливость.
- Снижение памяти, внимательности, умственных способностей.
- Перепады настроения.
- Нарушение походки, координации, равновесия.
- Нарушение речи.
- Водянка головного мозга, что проявляется увеличением у малыша головы (гидроцефалия).
- Нарушенная зрительная функция.
- Парез конечностей или лица.
При глиобластоме симптомы становятся явными в течение нескольких месяцев или даже недель из-за бесконтрольного разрастания ракового образования. Конкретные симптомы зависят от размера опухоли, ее локализации и возраста ребенка.
Как лечится глиобластома головного мозга у детей?
Чтобы начать лечение требуется поставить точный диагноз, определить вид, форму опухоли, степень распространения, сопутствующие осложнения. Получить максимально точную информацию позволяет применение комплексных диагностических мероприятий с использованием лабораторных и инструментальных методов, биопсии пораженной ткани. На основании полученных результатов разрабатывается адекватный план лечения:
- Радикальным способом избавления от злокачественного образования является оперативное вмешательство. Не всегда нейрохирургическая операция позволяет удалить весь очаг глиобластомы вследствие ее разрастания и отсутствия явных границ. Поэтому назначаются другие методики лечения.
- Стереотаксическая радиохирургия, которая дает возможность удалить труднодоступное образование.
- Химиотерапия блокирует активность раковых клеток, уничтожает метастатические поражения. Препараты, их дозировка и длительность курса определяются врачом, исходя из общей тактики лечения.
- Лучевая терапия препятствует размножению опухолевой ткани путем воздействия на нее ионизирующего излучения в определенных дозах.
Комбинация всех способов лечения позволяет предупредить появление рецидивов.
Какова выживаемость при глиобластоме у детей?
Поскольку опухоль часто поражает другие участки центральной нервной системы и быстро разрастается, она характеризуется крайне неблагоприятным прогнозом. Прогностические факторы зависят от размера и локализации опухоли, степени ее распространенности, наличия метастаз и адекватного подхода в лечении. В израильской клинике ТАМС учитывая все факторы, коллегией врачей разрабатывается индивидуальный план лечения, что дает хорошие результаты.
Специалисты разного профиля находятся между собой в тесном контакте, благодаря расположению отделений в одном медицинском комплексе. Таким образом, программы лечения регулярно совершенствуются, по необходимости корректируются, с привлечением офтальмологов и неврологов, а этапы протокола четко соблюдаются по очередности и регламенту, согласно международному стандарту. Благодаря инновационному подходу и колоссальному врачебному опыту, ТАМС удалось значительно повысить уровень выживаемости даже при такой опаснейшей патологии головного мозга, как глиобластома.
Почему для лечения глиобластомы у детей выбирают Tel Aviv Medical Clinic
Израильская клиника славится высочайшим качеством лечения, а также рядом критериев, необходимых для успешного выздоровления ребенка.
- ТАМС специализируется на лечение глиом головного мозга, в том числе глиобластомы. Недаром в клинику приезжают на повторные операции со стран бывшего СНГ, где не могут завершить лечение.
- Медицинский персонал имеет высокую степень квалификации, огромнейший опыт в лечении глиобластом.
- Сложные операции, требующие филигранного мастерства, проводятся ведущими нейрохирургами, обладающими экспертными знаниями и многолетними навыками радикального удаления глиобластом головного мозга. В большинстве случаев операции проводят профессора с мировым именем – нейрохирурги Константини или Рот.
- Маленькие пациенты обеспечиваются уютными палатами, вниманием и заботой персонала, качественными медицинскими услугами по лояльным тарифам.
- Современное медицинское оборудование позволяет использовать щадящие методы лечения, не вызывающие осложнений, применять передовые технологии. Применение навигационных аппаратов позволяет снизить время проведения операции до 1-1,5 часа, в отличие от других больниц, где подобное хирургическое вмешательство занимает не менее 4 часов.
- После лечения маленький пациент имеет возможность пройти курс восстановления в реабилитационном центре ТАМС для закрепления результата, скорейшего возвращения к нормальной жизни.
Врачи:

Нейрохирург, заведующий отделением детской Нейрохирургии

Онколог, зав. департаментом Онкологии головного и спиного мозга


























