Хориоидпаппилома относится к категории редких внутричерепных образований. У детей младенческого возраста патология вызывает развитие гидроцефалии. Злокачественная форма образования встречается в исключительных случаях и развивается у новорожденных и детей до пяти лет. При наличии малейших подозрений на развитие опухоли, необходимо срочно обратиться к специалисту, пройти полное обследование.
Что такое хориоидпапиллома?
Это доброкачественная опухоль, которая чаще всего диагностируется у детей до трех лет. Такое заболевание представляет собой нейроэктодермальную опухоль, располагающуюся внутри желудочков головного мозга и развивающуюся из эпителия сосудистых сплетений желудочков головного мозга. Самое распространенное место локализации – боковые желудочки.
Точные причины возникновения недуга до конца не известны. Но есть обоснованное предположение, что это связано с нарушениями эмбрионального развития плода при беременности. Такие нарушения вызываются воздействием канцерогенных факторов.
Насколько расростратенана хориоидпапиллома у детей
Это достаточно редкое заболевание, на которое приходятся порядка 1% всех случаев опухолей головного мозга у детей. В большинстве случае образование локализуется в боковых желудочках, чуть реже – в четвертом желудочке, и в каждом десятом случае в третьем желудочке. В основном заболевание встречается у детей в возрасте до трех лет. Однако известны случаи его диагностирования у подростков, а также в уже зрелом возрасте.
Если говорить о новорожденных детях и малышах до 1 года, то хориоидпапиллома является наиболее часто встречаемой внутричерепной опухолью. При этом у мальчиков она возникает чаще.
Каковы симптомы хориоидпаппиломы у ребенка?
Заболевание обладает специфичными симптомами. Ребенок с развивающимся новообразованием сталкивается со следующими расстройствами:
- Приступы головокружения, судороги;
- Постоянное чувство усталости, сонливости;
- Нарушения координации движений;
- Снижение чувствительности;
- Приступы тошноты, рвоты, усиливающиеся в утреннее время суток;
- Агрессивность, возбудимость;
- Формирование неврологического дефицита в определенном участке тела: правой руке, языке, левой стороне лица;
- Снижение слуха, зрительной функции.
Специалисты рекомендуют с особым вниманием отнестись к увеличенному черепу, выпуклости в родничке у младенцев младше двух лет. Такие признаки свидетельствуют о повышенном внутричерепном давлении.
Как лечится хориоидпаппилома?
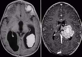
Перед началом лечения обязательно проведение комплексной диагностики, которая позволит не только подтвердить диагноз, но и получить все необходимые сведения о заболевании. В качестве основных методов диагностики используется КТ и МРТ, в том числе с введением контрастных веществ.
Для лечения заболевания могут применяться следующие методы:
- Оперативное вмешательство. Это основной метод лечения хориоидпаппилом. При проведении операции доступ к образованию может осуществляться разными путями. Но в клинике Тель Авив Медикал Центр (Ихилов) используются только щадящие микрохирургические и эндоскопические методики, позволяющие получить доступ к зоне операции даже в том случае, если участки опухоли не видны невооруженным глазом. Более того, применение таких техник позволяет проводить оперативное вмешательство через маленькие разрезы, благодаря чему уменьшается травматичность, сокращается время на реабилитацию, а также снижаются риски возникновения осложнений. Тем не менее, удаление хориоидпаппилом – это крайне сложная хирургическая операция, ведь опухоль имеет хорошее кровоснабжение и локализуется рядом с жизненно важными структурами. Поэтому такая операция должна проводиться только лучшими хирургами. В израильской клинике Ихилов ее проводят доктора Константини и Рот. Это опытные и высококвалифицированные специалисты, за плечами которых сотни успешно проведенных сложнейших операций по удалению опухолей головного мозга.
- Лучевая терапия. Радиотерапия назначается не во всех случаях. Она применяется при рецидивах, неполном удалении опухоли после хирургического вмешательства, а также в случаях глубинного расположения образования. Благодаря воздействию больших доз облучения, удается эффективно бороться с небольшими опухолями, которые локализуются в труднодоступных местах. При этом соседние здоровые ткани практически не затрагиваются. В клинике ТАМС лучевая терапия выполняется доктором Осповат Ина, который грамотно спланирует программу лучения с использованием высокоточных методов диагностики.
Какова выживаемость при хориоидпапилломе?
10-летняя выживаемость после проведенного лечения составляет свыше 77%, что является достаточно высоким показателем, как для внутричерепных опухолей. Однако следует отметить, что при выполнении операции специалистами с низкой квалификацией увеличиваются риски возникновения осложнений. Проведение операции требует от врача высокой точности движений и огромного опыта. Поэтому обращаться лучше в наш медицинский центр. У нас процент выживаемости юных пациентов с хориоидпаппиломой значительно выше, чем средний показатель по другим клиникам.
Почему выбирают ТАМС?
Есть множество причин, по которым для лечения хориоидпапилломы обращаются в нашу клинику:
- Использование современного дорогостоящего оборудования, которым не может похвастаться большинство просто хороших клиник;
- Высококвалифицированные врачи, являющиеся настоящими профессионалами в своих областях;
- Специалисты клиники проводят важные клинические исследования, а также участвуют в крупнейших международных медицинских конференциях;
- Комфортабельные, чистые и оснащенные всем необходимым палаты;
- Психологическая поддержка для родителей, чьи дети проходят тяжелое лечение;
- Врачи клиники берутся за любых пациентов, даже если им не смогли помочь в других медицинских учреждениях;
- Демократичные цены, что делает лечение доступным для многих пациентов со всего мира.
Врачи:

Онколог, ведущий специалист в области детской гематоонкологии и лечении нейробластомы у детей.

Онколог, руководитель отделения Педиатрической гемато-онкологии и Трансплантации костного мозга

Онколог, детский онкогематолог, заведующая отделением

Нейрохирург, заведующий отделением детской Нейрохирургии

Онколог, зав. департаментом Онкологии головного и спиного мозга


























