
Костные кистозные образования – доброкачественные полости, формирующиеся в костной ткани ребенка. Внутри полость содержит жидкость. Кисты оказывают негативное влияние на работу организма. Происходит нарушение циркуляции крови, активация патогенных веществ, разрушающих костные структуры. Болезнь классифицируется, как опухолеподобная патология.
В медицине выделяют два типа костных кист. Солитарное образование – простой тип патологии. Легко диагностируется, поражает длинные кости. Чаще встречается у мужчин. Аневризмальные кисты – редкие патологии, поражающие детский, подростковый организм. Вместо жидкости полости наполняет кровь. Физическая травма может привести к формированию костного кистозного образования.
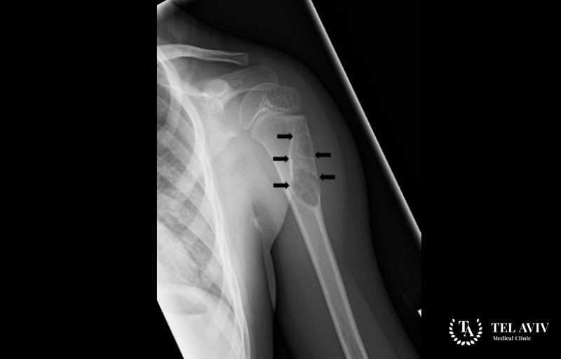
Симптоматика костных кист у детей
Для заболевания характерно отсутствие симптоматики на ранней стадии. Иногда пациенты отмечают появление небольшой припухлости, редкой слабой боли. В большинстве случаев признаки не становятся причиной посещения специалиста. Увеличение кистозных формирований приводит к расширению симптоматики:
- У пациентов отмечается развитие хромоты при дислокации в бедренном, проксимальном диафизе;
- Кисты в плечевых костных тканях вызывают боли, неприятные ощущения при поднятии рук, резком движении;
- При пальпации прощупывается уплотнение костной плотности, болевые ощущения отсутствуют;
- Развитие прогрессирующей отечности приводит к усилению болей;
- Отмечается присутствие местной гипертермии;
- Подкожные вены расширяются;
- Наличие кист в позвоночнике приводит к неврологическим нарушениям, спинномозговые корешки подвергаются компрессии.
Почему формируется костная киста
Точные причины формирования патологической полости не установлены. В организме человека нарушается местное кровообращение. Активируются ферменты, вызывающие разрушительные процессы в костном органическом веществе. Питательные вещества, кислород не поступает в определенную зону в необходимом количестве, стартует разрушение. Активируются протеин.
На этом основании возникает новообразование. Кисту наполняет жидкость. Осмотическое, гидростатическое давление внутри повышено.
Лечение костных кист в Tel Aviv Medical Clinic
Крупнейший медицинский центр в Израиле является признанным лидером в области лечения костных заболеваний у детей, подростков, взрослых пациентов. Высококвалифицированные врачи применяют уникальные, высокотехнологичные методики.

























