Эмбриогенная опухоль головного мозга, преимущественно доброкачественной формы, называемая также образованием гипофизарного хода или кармана Ратке.
Что такое краниофарингиома?
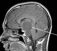
Внутричерепная опухоль локализуется в селлярной или параселлярной области головного мозга, состоит из эпителиальной ткани, формируясь из эмбриональных клеток. Врожденное образование характеризуется медленным ростом и низкой степенью малигнизации. Несмотря на доброкачественность, несет определенную угрозу здоровью ребенка, вследствие анатомических особенностей локализации. Из-за близости краниофарингиомы к гипофизу, зрительному нерву, гипоталамусу вызывает серьезные осложнения и затруднения в хирургическом лечении, влияет на эндокринные функции. Краниофарингиома представляет собой образование плотной структуры, состоящей из кист, заполненных жидкостью. Причины возникновения опухоли доподлинно неизвестны, но предположительно провоцирующими факторами называют нарушения внутриутробного развития и генетическую предрасположенность.
Насколько распространена краниофарингиома?
Это довольно редкая патология (до 4% от всех опухолей головного мозга), пик заболеваемости которой приходится на несколько периодов. У детей это чаще 5-14 лет, независимо от пола. По статистике на один миллион населения каждый год приходится до двух новых случаев выявления краниофарингиомы. Более всего заболевание распространено в Китае, и реже встречается в Австралии (не более 1,5% от общего числа внутричерепных образований). Согласно проводимым исследованиям, у 70% пациентов была обнаружена мутация определенного гена.
Основные симптомы краниофарингиомы у детей
Опухолевая патология может долгое время не проявляться выраженными признаками, сопровождаясь симптомами с увеличением размеров:
- Усиливающиеся по утрам головные боли, на которые не влияет прием таблеток, и проходящие, как правило, после рвоты.
- Тошнота.
- Спутанность сознания.
- Зрительные нарушения, вплоть до слепоты.
- Прогрессирующее ожирение или внезапное похудение.
- Задержка полового и физического развития, на что влияют нарушения эндокринных и гормональных функций.
- Снижение аппетита.
- Изменение в поведении.
- Усиление жажды.
- Отек глазного нерва.
- Меняющиеся психопатологические состояния – повышенная возбудимость, депрессия, апатия.
- Расстройство обоняния.
- Эпилепсия.
- Нарушение двигательных функций.
Симптомы могут различаться, в зависимости от расположения опухолевого очага, и размеров краниофарингиомы. Своевременно начатое лечение зависит от родителей, которые должны незамедлительно показать специалистам ребенка, если у того были замечены хотя бы некоторые из вышеперечисленных признаков.
Как лечится краниофарингиома?
Выявить наличие и локализацию опухоли, определить ее структуру и вид помогает комплекс диагностических мероприятий, которые должны состоять из лабораторных и инструментальных способов исследования, изучения образца пораженной ткани после взятия биопсии. По результатам диагностики подбирается лечение, состоящее, обычно из таких пунктов:
- Приоритетным является тотальное удаление опухоли хирургическим путем. Техника и объем операции зависят от расположения опухоли и типа доступа. После операции маленькому пациенту могут быть назначены стероидные гормоны. Возможных послеоперационных осложнений удается избежать ведущим нейрохирургам израильской клиники Тель Авив Медикал Центр (Ихилов) – профессору Константини и профессору Рот, которые эффективно проводят операции по удалению краниофарингиомы у детей.
- При ограниченном хирургическом вмешательстве для устранения симптомов, снижения давления и дренирования жидкости, в опухоль устанавливается катетер
- Не всегда удается провести резекцию образования из-за риска воздействия на жизненно важные структуры. В таком случае проводится радиохирургия или лучевая терапия, чтобы губительно воздействовать на оставшиеся пораженные клетки ионизирующим излучением. Радиотерапия назначается и при возникновении рецидивов. Доктор Осповат Ина проведет целенаправленное облучение, не затрагивая здоровые ткани.
- Химиотерапию с назначением оптимальных для детского организма препаратов проводит доктор Рина Двир.
Какова выживаемость у детей при краниофарингиоме?
Десятилетняя выживаемость составляет не более 90%. Большая часть рецидивов наблюдается в течение года после операции. Показатели во многом относительны и зависят от локализации образования, сопутствующих нарушений и качества оказания медицинской помощи. В израильской клинике ТАМС используется квалифицированный подход к лечению маленьких пациентов. Этим занимается мультидисциплинарная команда врачей, обладающих внушительным опытом в лечении краниофарингиомы под руководством профессора Константини и заведующего подразделением опухолей головного мозга доктором Рина Двир.
Узкопрофильные специалисты находится в одном медицинском комплексе, что позволяет быстро, без промедления принимать жизненно-важные решения, корректировать схему лечения, не прибегая к транспортировке больного ребенка. Врачи клиники строго соблюдают протокол лечения, не нарушая периодичность и очередность его этапов, согласно международным стандартам. Взаимодействие офтальмологов и неврологов позволяет успешно мониторить результаты операции. Таким образом, нам удается добиться значительно высокого уровня и длительности выживаемости, снизить риски рецидивов. Поэтому к нам и обращаются русскоязычные пациенты, чтобы завершить лечение, так как в больницах стран СНГ нет возможности для качественного проведения операции.
Почему для лечения краниофарингиомы у ребенка выбирают Tel Aviv Medical Clinic?
Израильская клиника специализируется на лечении опасных онкологических патологий, в том числе краниофарингиомы у детей. Применение индивидуального подхода с коллегиальной разработкой лечебной программы позволяют эффективно бороться с опухолью головного мозга, избегая осложнений. В ТАМС наблюдается высокий показатель полного излечивания детей с краниофарингиомой за счет таких факторов:
- Колоссальный опыт врачей в лечении именно краниофарингиомы, в совокупности с экспертными знаниями. Это и повлияло на показатели – в нашей клинике уровень длительной выживаемости гораздо выше, чем где либо.
- Передовая оснащенность клиники новейшим оборудованием и современными лабораториями, что позволяет использовать наиболее щадящие для детского организма методики лечения краниофарингиомы. А за счет применения новейших систем навигации, время проведения операции сокращается до часа-полтора, вместо 4-5 часов как в большинстве больниц.
- Высокий профессионализм нейрохирургов, которые проводят сложнейшие операции по удалению краниофарингиомы.
- Качественные медицинские услуги в полном объеме по доступным тарифам, забота и уход внимательного персонала, возможность восстановиться и закрепить результат лечения в центре реабилитации ТАМС.
Врачи:

Нейрохирург, заведующий отделением детской Нейрохирургии

Онколог, зав. департаментом Онкологии головного и спиного мозга

Гематолог, гематоонколог, директор педиатрического отделения детской больницы


























