Опухоль также называется вестибулярной шванномой или акустической невриномой.
Что такое невринома слухового нерва?
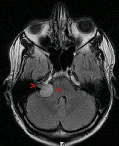
Новообразование, имеющее доброкачественную форму, способно вызывать осложнения, сдавливая окружающие структуры и ткани. Невриномы, сформированные из нервных клеток, образуются в вестибулярном корешке слухового нерва, и представляет собой бугристый или округлый узел плотной консистенции, состоящий из кистозных элементов, заполненных жидкостью. Опухоль характеризуется медленным ростом и не выходит за пределы очага, не распространяется на здоровую ткань. Но вырастая до больших размеров, шваннома постепенно негативно влияет на слух, оказывает давление на соседние структуры, ухудшая качество жизни. Появление образования связывают с наследственной предрасположенностью и генетическим заболеванием. Невринома может быть односторонней или двусторонней и квалифицируется по стадиям развития, что зависит от размеров образования.
Насколько распространена невринома слухового нерва?
Заболевание может развиться в любом возрасте, но преимущественно диагностируется у людей 30-50 лет. При этом невринома поражает женщин почти в два раза чаще, чем мужчин. У детей патология возникает крайне редко, в связи с чем затрудняется ее диагностика. По статистике на долю невриномы приходится до 12% от всех внутричерепных опухолей. Ежегодно опухоль обнаруживается у одного человека на сто тысяч.
Каковы симптомы вестибулярной шванномы?
Выявлением патологии занимается специалист, а задача родителей – своевременно заподозрить заболевание по характерным признакам:
- Звон в ушах, что отмечает большинство пациентов.
- Головокружение.
- Снижение слуха и развивающаяся глухота.
- Ощущение заложенности в ушах.
- Нарушенная работа вестибулярного аппарата.
- Рвотные позывы.
- Онемение части лица, чувство покалывания.
- Нарушение координации движения и равновесия.
- Затрудненное глотание и жевание.
- Подергивание глазных яблок.
- Изменение вкуса.
- Гидроцефалия.
Симптомы зависят от объема и стадии новообразования, его места расположения по отношению к стволу мозга, от состояния и возраста маленького пациента. В некоторых случаях опухоль небольших размеров перестает расти и не причиняет особого дискомфорта.
Как лечится невринома слухового нерва?
Чтобы установить вид патологии, локализацию образования и назначить адекватные лечебные мероприятия, проводится тщательная диагностика, основанная на осмотре пациента, применении слухового теста и инструментальных способов визуализации. Также назначается биопсия пораженной ткани, чтобы определить форму заболевания и степень злокачественности. Существует три основных типа лечения:
- Хирургическое вмешательство, в ходе которого опухоль полностью удаляется. Показаниями к проведению операции считается прогрессирование образования и выраженные симптомы. Чтобы сохранить маленькому пациенту слух, зрительный и лицевой нерв проводится операция одним из возможных доступов. В израильской клинике Тель Авив Медикал Центр (Ихилов) удается избежать любых осложнений и снизить всяческие риски благодаря мастерству детских нейрохирургов профессору Константини и профессору Рот.
- Лучевая терапия призвана остановить рост шванномы воздействием на ее клетки излучения. Проводится как альтернатива инвазивному вмешательству, или если опухоль находится в труднодоступных местах. Фокусированное облучение выполняет доктор Осповат Ина, не затрагивая при этом здоровые, окружающие опухоль участки.
- Наблюдательная тактика применяется, если невринома небольших размеров никак не беспокоит маленького пациента, или при ослабленном организме ребенка.
- Иммунотерапия с подбором приемлемых для ребенка препаратов и доз осуществляется доктором Рина Двир.
Какова выживаемость при невриноме слухового нерва?
Прогнозы при шванноме положительные, если опухоль была удалена полностью без негативных последствий для организма. Чтобы после лечения ребенок не жаловался на шум в ушах и болезненные ощущения, следует соблюдать нормы протокола. В израильской клинике Tel Aviv Medical Clinic для лечения детей с невриномой применяется особый подход, основанный на индивидуально разработанной программе и строгому следованию этапов протокола. Чтобы избежать осложнений и ухудшения состояния пациента, вопросом его лечения занимается междисциплинарная команда врачей с колоссальным опытом борьбы с невриномой слухового нерва.
Узкопрофильные эксперты постоянно взаимодействуют и находятся на территории одного медицинского комплекса, что позволяет быстро обратиться за консультацией или помощью нужного специалиста, и не транспортировать маленького пациента. Корелляция неврологов и офтальмологов способствует успешному мониторингу результатов хирургического вмешательства. Такая тактика приносит свои плоды в виде высокого уровня не просто выживаемости после удаления вестибулярной шванномы, а и полного излечивания и возвращения ребенка к полноценной жизни. Поэтому в ТАМС обращаются пациенты со стран СНГ, чтобы завершить операцию, поскольку в больницах по месту жительства нет возможностей для качественного лечения.
Почему выбирают ТАМС для лечения невриномы у ребенка?
Израильскую клинику выбирают, ориентируясь на такие показатели:
- Высочайшая квалификация медицинского персонала. В клинике трудятся настоящие профессионалы, обладающие солидным стажем и экспертными знаниями, прошедшие специальную подготовку и практику. Благодаря богатейшему опыту и навыкам в удалении невриномы слухового нерва, врачи успешно проводят сложнейшие операции и помогают детям вернуться к нормальной жизни. Бригаде детских хирургов под руководством профессора Константини и заведующего отделением опухолей головного мозга доктора Рина Двир удалось добиться высоких результатов в лечении, как нет ни в одной из больниц.
- Клиника оснащена самым современным, высокотехнологическим оборудованием, что позволяет применять инновационные, щадящие и эффективные методики лечения невриномы. А использование высокотехнологичных навигационных систем во время операции, дают возможность сократить время ее проведения до 1-1,5 часов, тогда как в большинстве больниц удаление невриномы слухового нерва может занимать 4-5 часов.
- Маленьким пациентам предоставляются уютные, обустроенные палаты, уход и забота персонала, полный спектр медицинских качественных услуг по демократичным расценкам.
- После лечения невриномы слухового нерва, закрепить результат и ускорить процесс восстановления ребенок может в центре реабилитации ТАМС.
Врачи:

Нейрохирург, заведующий отделением детской Нейрохирургии

Онколог, зав. департаментом Онкологии головного и спиного мозга

Гематолог, гематоонколог, директор педиатрического отделения детской больницы


























