
Остеохондромы – костные новообразования доброкачественного типа. Относятся к распространенным патологиям. Они представляют собой выросты на костных тканях, ощутимые при пальпации. Причина – аномалии в энхондральном окостенении. Образование обладает костной основой, ее накрывает хрящевая оболочка. Толщина оболочки небольшая.
Интенсивность увеличения патологии идентичная скорости роста скелета. После завершения процесса роста скелетного основания, останавливается развитие остеохондромы. На основании выроста может образоваться вторичная хондросаркома, хондрома. В данной ситуации хрящевое покрытие костного образования значительно разрастается. Возникает риск превращения доброкачественной опухоли в злокачественный процесс.
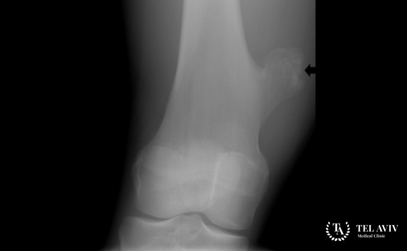
Особенности проявления остеохондромы
Опухолевое образование небольшой размерности не вызывает симптомов у ребенка. Болевой синдром отсутствует. Зачастую патология выявляется в случайном порядке. Характерные признаки патологии:
- На костной ткани формируется шишка;
- Крупная остеохондрома оказывает компрессию на мышечные, нервные ткани, сухожилия. Функционал конечностей нарушается, формируется стойкий болевой синдром;
- Сумка над остеохондромой приводит к спонтанным переломам, развитию ложных аневризм, тромбозов в подколенных венах;
- При пальпации патология проявляется в виде уплотнения. Подвижность отсутствует. Изменения кожных покровов на костным наростом не отмечаются.
Причины развития остеохондромы
Точные причины развития патологического процесса не установлены. По данным исследований, способствовать формированию опухоли могут следующие факторы:
- Лечение заболеваний у ребенка с применением лучевой терапии;
- Радиационное, ионизирующее облучение;
- Аномальное развитие, формирование костных тканей;
- Наличие генетического заболевания – остеохондроматоза. Тип наследственной передачи – аутосомный, доминантный. Болезнь диагностируют у детей до двадцати лет.
Лечение остеохондромы у детей в Tel Aviv Medical Clinic
Израильская клиника является признанным лидером в лечении остеохондромы у пациентов различного возраста. Специалисты медицинского центра применяют уникальные, точнейшие методы диагностики на базе высокотехнологического оборудования. Лечебная программа разрабатывается ведущими врачами высшей категории. В ходе терапии используется передовая аппаратура нового поколения, ультрасовременные методики лечения.

























