
Параганглиома сердца встречается крайне редко, не превышая 1% случаев от общего числа образований сердца. Опухоль, возникающая из нейроэндокринных клеток, чаще всего локализуется в левом предсердии, но может развиваться и в межпредсердной перегородке, в легочной артерии или желудочке сердца. С одинаковой частотой патология поражает лиц обеих полов среднего возраста. Параганглиома делится на несколько вариантов, в зависимости от количества входящих в ее состав сосудов и группировки клеток, степени злокачественности. Основными факторами ее появления считаются:
- Сбои в гормональной системе.
- Воздействие радиации и канцерогенных веществ.
- Частые стрессы.
- Генетические мутации.
Какими симптомами сопровождается заболевание?
При первых признаках патологии, что выражается в определенных нарушениях, нужно обратиться к врачу для детального обследования. Параганглиома вполне поддается лечению, особенно если оно было начато своевременно. При этом прогноз, как правило, благоприятный. Патологический процесс может проявляться такими симптомами:
- Систематические головные боли.
- Боль и тяжесть в области сердца.
- Повышенное потоотделение.
- Головокружение.
- Одышка.
- Синдром повышенного давления.
- Затрудненное дыхание.
- Аритмия.
- Стенокардия.
- Сердечная недостаточность.
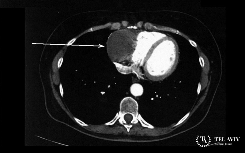
Диагностика параганглиомы
Большое значение в борьбе с опухолью сердца имеет качественно проведенная комплексная диагностика, для проведения которой используются стандартные методы обследования и современное, высокоинформативное оборудование, каким оснащена клиника Tel Aviv Medical Clinic. Оценка состояния пораженного органа основывается на лабораторных и инструментальных способах исследования.
- Анализы мочи и крови с определением уровня физиологически активных веществ.
- Рентгенография.
- Сцинтиграфия.
- Визуализация опухоли и близлежащих анатомических структур с помощью КТ и МРТ.
- Биопсия для уточнения иммуногистохимических и гистологических характеристик.
Особенности лечения параганглиомы сердца в Tel Aviv Medical Clinic
Месторасположение опухолей не всегда позволяет проводить радикальное удаление путем хирургического вмешательства из-за опасности повредить артерии или сердечные клапаны. Но врачи нашей клиники, обладая многолетним практическим опытом, проводят уникальные по сложности операции, добиваясь положительных результатов в устранении параганглиомы и ее последствий.

























