
Перикардиальная киста представляет собой доброкачественное образование овальной формы, состоящее из бесцветной жидкости и имеющее соединительнотканные стенки с сосудами и жировыми клетками. Большинство кист средостения относятся к виду патологий с врожденным происхождением. Приобретенные кисты образуются обычно на фоне воспалительного процесса или после травмы грудной клетки, из-за полученной гематомы. Кисты могут содержать одну или несколько камер, сращиваться с перикардом широким основанием или ножкой. Перикардиальные кисты могут иметь различное клиническое течение, вызывать серьезные осложнения, такие как эмболия. Кисты могут воспаляться, наполняясь при этом гноем, вызывать нарушения в работе сердца.
Как выявляются перикардиальные кисты?
Часто образования при бессимптомном течении обнаруживаются случайно, во время рентгенологического обследования. В других случаях пациенты обращались к врачу, заметив у себя такие признаки заболевания:
- Боль в области груди, что происходит из-за сдавливания органов.
- Затрудненное дыхание.
- Одышка.
- Общее недомогание.
- Болезненные ощущения в подреберье.
- Сухой кашель.
- Аритмия.
Клиническая картина не является специфичной, и характерна для ряда других заболеваний сердца. Поэтому, чтобы идентифицировать перикардиальную кисту проводятся комплексные диагностические обследования.
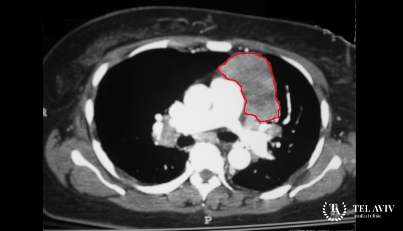
Как диагностируется патология?
Определить вид, форму и размер образования, а также очаг поражения, позволяет использование современных методов обследования, для которых в Tel Aviv Medical Clinic применяется новейшее, высокоинформативное оборудование.
- ЭХО-КГ.
- МРТ.
- КТ.
- УЗИ.
- Рентгенография.
- Анализы.
Как проходит лечение перикардиальной кисты в Tel Aviv Medical Clinic?
В нашей клинике трудятся настоящие профессионалы с многолетним практическим опытом и экспертными знаниями, которые смогут подобрать рациональный план лечения, основываясь на полученных диагностических результатах. Индивидуально разработанная лечебная схема демонстрирует наиболее эффективный подход в устранении осложнений, вызванных ростом кисты, в удалении самого образования. При небольших размерах кисты и отсутствии нарушений, может быть показано только наблюдение у врача, без использования хирургического вмешательства. При внушительных объемах кисты и явно выраженной угрозе здоровью пациента, проводится операция по иссечению или вылущиванию кисты.

























