Заболевание, развивающееся в детском возрасте, относится к виду ювениальных, глиальных опухолей – астроцитом.
Что такое пилоцитарная астроцитома?
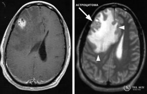
Это опухоль низкой степени злокачественности, которая может возникнуть в любом возрасте и локализуется преимущественно в отделах мозжечка, стволе головного мозга и в зрительном нерве. Новообразование имеет четкие границы, наличие кистозных узлов, характеризуется медленным ростом. Пилоцитарная астроцитома редко метастазирует в здоровые ткани, но способна достигать крупных размеров. Опухоль образуется из глиальных клеток – астроцитов, которые являются составной частью вещества, содержащегося во всех отделах головного мозга.
Насколько распространена пилоцитарная астроцитома?
Астроцитома первой степени злокачественности часто встречается у детей, по распространенности занимая лидирующее место среди нейроэктодермальных опухолей. По статистике, на долю заболеваемости пилоцитарной астроцитомой приходится примерно половина от всех образований ЦНС детского возраста.
Каковы симптомы пилоцитарной астроцитомы?
Родителям рекомендуется незамедлительно показать ребенка врачу, для проверки состояния его здоровья, если возникли такие подозрительные признаки:
- Головная боль, усиливающаяся по утрам, что объясняется сдавливанием растущей опухолью отдельных участков нервной системы.
- У грудничков увеличенный размер головы (гидроцефалия), что нередко сопровождается набухшим, выпирающим, сильно пульсирующим родничком.
- Потеря равновесия при ходьбе и нарушенная координация движения.
- Тошнота и рвота.
- Судороги.
- Проблемы со зрением и неестественные движения глазных яблок.
- Изменения речевой и слуховой функций.
- Повышенная утомляемость.
- Ощущение онемения и покалывания части тела.
На начальных этапах развития астроцитома не всегда проявляется симптомами, которые зависят от локализации опухолевого очага, интенсивности ее роста, возраста ребенка.
Как лечится пилоцитарная астроцитома?
Выбор лечебной тактики зависит непосредственно от результатов обследования, которое для полноты получения информации должно включать в себя лабораторные и инструментальные способы диагностики. Также проводится биопсия опухоли для определения ее вида и степени злокачественности. Стандартный протокол лечения:
- Хирургическая операция, как основная тактика лечения. Опухоль иссекается полностью, если этого позволяет ее месторасположение. Обычно тотальной резекции бывает достаточно. Но в ряде случаев, особенно если опухоль локализуется в труднодоступном участке и чтобы не повредить структуры мозга, используются другие методы лечения.
- Радиотерапия с применением ионизирующего излучения, направленного на уничтожение патологических клеток. При диагностировании пилоцитарной астроцитомы у детей выполняется дистанционное воздействие на опухоль.
- Химиотерапия назначается согласно общей схеме лечения. Дозировку и длительность приема химиотерапевтических препаратов определяет врач, исходя из особенностей опухоли и состояния ребенка. При астроцитоме обычно назначаются вещества в комбинации или в виде монотерапии по протоколам лечения ICE, PDD1.
Какова выживаемость при пилоцитарной астроцитоме?
Прогнозы при заболевании благоприятные, особенно если опухоль была удалена своевременно и полностью. И хотя уровень выживаемости достаточно высокий, ребенку после лечения необходимо регулярно проходить обследования, наблюдаться у специалистов, поскольку астроцитома склона к рецидивам. Систематические медицинские осмотры помогут предупредить повторное развитие глиальной опухоли. Уровень выживаемости зависит от четкого соблюдения режима и графика протокола. В ТАМС весь процесс лечения происходит в одном стационаре, что позволяет моментально скорректировать тактику лечения. Сотрудничество узконаправленных экспертов и богатейший опыт в лечении пилоцитарной астроцитомы способствуют успешному и скорейшему выздоровлению маленького пациента.
Почему выбирают Тель Авив Медикал Центр (Ихилов) для лечения ребенка
Несмотря на низкую степень злокачественности, пилоцитарная астроцитома является довольно опасным заболевание, требующим в лечении особого подхода, что могут дать не все лечебные учреждения. ТАМС выбирают по таким показателям:
- Высокий уровень предоставляемых медицинских услуг по доступным тарифам.
- Высококвалифицированные специалисты, с огромным стажем работы, экспертными знаниями и колоссальным опытом в лечении астроцитомы.
- Современное оборудование, наличие передовых лабораторий, где проводятся уникальные исследования.
- Облучение происходит целенаправленно, что позволяет избегать повреждения здоровых тканей.
- Новейшие, эффективные методики лечения и только оригинальные, сертифицированные препараты.
- Комфортабельные палаты и забота внимательного персонала.
- Возможность закрепить лечение пилоцитарной астроцитомы и скорее восстановиться в реабилитационном центре ТАМС.
Врачи:

Нейрохирург, заведующий отделением детской Нейрохирургии

Онколог, зав. департаментом Онкологии головного и спиного мозга

Гематолог, гематоонколог, директор педиатрического отделения детской больницы


























