Любой участок человеческого организма, в том числе у детей, может подвергаться различным опухолевым поражениям. В носу иногда развивается такое образование, как ювенильная ангиофиброма.
Что такое ювенильная назофарингеальная ангиофиброма?
Это доброкачественное новообразование, располагающееся в носоглотке детей и подростков. Характерная дислокация патологии – задняя часть носа, где находятся аденоиды. Ангиофибромы быстро увеличиваются в размерах, отличаются агрессивностью. Прогрессирующая опухоль склонна к разрушениям окружающей костной структуры. Неоплазия распространяется на соседние области: черепное основание, черепную полость, глазные орбиты, и склонна к кровоточивости, что делает ее особенно опасной. Ювенильная назофарингеальная ангиофиброма (ЮНА) представляет собой рыхлую опухолевую массу, содержащую переплетение кровеносных сосудов.
Насколько распространена ювенильная назофарингеальная ангиофиброма в детском возрасте?
ЮНА относится к группе редких образований, способных возникать в любом возрасте, даже у пожилых людей. Преимущественно поражает детей и подростков от 7 до 19 лет. По статистике заболеванием страдают в основном мальчики и мужчины, что предположительно обусловлено повышенной экспрессивностью андрогенных рецепторов. Еще одним провоцирующим фактором называют гормональный дисбаланс, поэтому пик заболеваемости приходится на период полового созревания. От всех опухолей головы ЮНА составляет не более 0,5% или на 150 тысяч человек приходится один зарегистрированный случай.
Каковы симптомы ювенильной назофарингеальной ангиофибромы у детей?
Патология чаще всего манифестирует с безболезненной заложенности носа, как правило, с одной стороны, и развитием отита. Клиническая картина при росте ангиофибромы выглядит примерно так:
- Головные боли, сопровождаемые носовыми кровотечениями.
- Ринорея.
- Приступы острых головных болей без кровотечения из носа.
- У ребенка отекает, распухает лицо
- Глазное яблоко выбухает при сильном увеличении образования.
- Евстахиева труба функционирует со сбоями.
- Закладывает уши.
- Затрудненное носовое дыхание.
- Лицо деформируется.
- Снижается острота зрения.
Опухоль, распространяющаяся в область черепа, приводит к параличу черепного нерва, происходят вторичные рефлекторные, сосудистые расстройства. Если неоплазия растет медленно, ребенок может не ощущать сильных проявлений симптоматики заболевания, что затрудняет его своевременное выявление и ухудшает шансы на благоприятный исход. Иногда даже не проходящая заложенность носа свидетельствует о развитии такой патологии, как ЮНА. Поэтому родителям лучше перестраховаться и показать ребенка грамотному специалисту для качественного обследования.
Как лечится ювенильная назофарингеальная ангиофиброма у ребенка?
Избежать ошибочности в диагностике и лечении, что может привести к необратимым последствиям, ухудшению состояния и даже летальному исходу, поможет обращение в израильскую клинику Тель Авив Медикал Центр (Ихилов). Выбор лечения основывается на полноценном обследовании, которое проводит ведущий специалист. Диагностика включает в себя такие этапы:
- Общий осмотр с проверкой состояния носовой полости и сбор анамнеза.
- Гормональный тест.
- Риноскопия для обнаружения выбухания в носу и оценки слизистой оболочки.
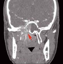
- Инструментальные, визуализирующие методы исследования – МРТ, КТ, ангиография, рентген, эпифарингоскопия.
Диагностика предоставляет достаточно информации о развитии и особенностях течения заболевания, и помогает сформировать наиболее целесообразный план лечебных мероприятий.
- Основным методом удаления с носоглотки опухолевой массы является хирургическое вмешательство. Операция по резекции образования восстанавливает носовое дыхание, улучшая качество жизни. В ТАМС процедуры проводят лучшие в мире детские хирурги, что исключает риски осложнений или рецидивов. В большинстве случаев операцию выполняет опытнейший специалист доктор Яир Горчак.Чтобы избежать повышенного кровотечения, перед операцией выполняется эмболизация сосудов, питающих ангиофиброму. В нашей клинике преимущество отдается менее травматичным способам хирургического лечения, после которых не остается анатомических или функциональных нарушений, а срок госпитализации и восстановления значительно сокращается.
- Если опухоль выявлена на поздней стадии и успела распространиться на соседние структуры, проводится лучевая терапия. В Тель Авив Медикал Центр ее выполняет доктор Осповат Ина, который подберет наиболее приемлемую для детского организма интенсивность фокусированного излучения. Радиотерапия, сокращающая объем опухолевой массы осуществляется как до, так и после операции. Также иногда показано проведение гормональной терапии для восстановления гормонального баланса.
Какова выживаемость при ювенильной назофарингеальной ангиофиброме у детей?
О благоприятном прогнозе речь может идти, если опухоль была выявлена на ранней стадии и не успела вовлечь в патологический процесс черепную полость и головной мозг. В противном случае, шансы на выздоровление уменьшаются. Это не касается лечения в Тель Авив Медикал Центр, где согласно статистике среди всех европейских клиник наблюдается на порядок выше коэффициент полностью исцеленных детей с диагностированной ювенильной назофарингеальной ангиофибромой. В ТАМС тактика лечения подбирается строго индивидуально, с учетом всех особенностей ребенка и заболевания.
К разработке оптимальной лечебной тактики привлекаются узкопрофильные специалисты, обладающие колоссальным опытом успешной борьбы с ЮНА в педиатрии. Эксперты смежных профилей постоянно взаимодействуют, проводят консультации, участвуют в процедурах. Их близкое нахождение в одном корпусе позволяет оперативно корректировать программу лечения, отслеживать результат операции и состояние организма ребенка, предупреждать побочные реакции. В ТАМС используется уникальный протокол лечения, периодичности этапов которого врачи неукоснительно следуют. В нашей клинике выполняют операции юным пациентам, прибывшим из стран СНГ, где местные больницы не смогли достичь эффективности в лечении ювенильной ангиофибромы.
Почему Тель Авив Медикал Центр выбирают для лечения ювенильной назофарингеальной ангиофибромы у ребенка?
- Опухолевыми образованиями, локализующимися в труднодоступных местах, в опасной близости к жизненно важным структурам занимаются врачи, специализирующиеся на лечении ювенильной назофарингеальной ангиофибромы и обладающие в этом богатейшим опытом.
- Применение уникальных, щадящих методик, позволяющих точно и безболезненно удалять образования с носа, не нарушая анатомическую структуру, не задевая здоровые ткани.
- Высокотехнологичное оборудование, дающее возможность выявлять патологический процесс на начальной стадии, выполнять опасные хирургические манипуляции под контролем навигационных систем, сокращая их время проведения.
- Первоклассное медицинское обслуживание в полной мере и по лояльным тарифам, уютные палаты, доброжелательная атмосфера, внимательный и заботливый персонал.
- Реабилитационный центр ТАМС, где можно восстановиться после операции, закрепить результат лечения, получить помощь специалистов, в том числе психологическую поддержку.

























