
Эпендимомы относятся к классу новообразований, поражающих центральную нервную систему. В основе опухоли находится эпендимальная ткань из желудочковых мозговых систем. Это клетки, находящиеся в спинном, головном мозге, в полостях, содержащих жидкость. Эпендимомы бывают доброкачественного, злокачественного типа.
Анапластическая опухоль относится к группе недоброкачественных новообразований. Она быстро увеличивается, течение заболевания отличается агрессивностью, высока вероятность метастазирования опухолевых очагов. Метастазы распространяются через ликворный путь, часто поражают спинной мозг. Эпендимома анапластическая имеет злокачественность третьей степени.
Методы диагностики анапластической эпендимомы
Современные диагностические методики позволяют выявить патологию на ранней стадии. Наиболее информативными способами обследования считают:
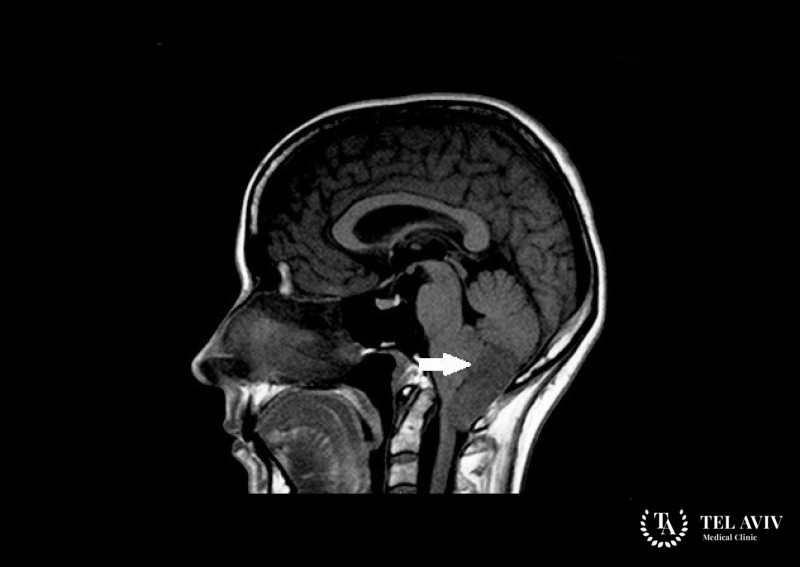
- Магнитный резонанс. Обладает максимальной информативностью в исследовании мозговых структур. На снимках отображается форма, размерность, структура эпендимомы. Четкая визуальная картина позволяет изучить сосуды головного мозга. МРТ проводится детям, взрослым, процедура полностью безопасна для здоровья;
- Люмбальную пункцию. С помощью поясничного прокола проводится забор спинномозгового вещества. Образец позволяет измерить ликворное давление, выявить атипичные клетки;
- Прямую офтальмоскопию. Специалист изучает глазное дно используя специализированный инструментарий, увеличительные стекла, дополнительный свет. Процедура дает возможность исследовать сетчатку, сосудистую оболочку, зрительный нерв пациента;
- Стереотаксическую биопсию. Малоинвазивная хирургическая методика предполагает забор образца измененных тканей для дальнейшего гистологического обследования;
- Электроэнцефалографию. Врач анализирует функциональное состояние мозга. Биоэлектрическая активность регистрируется на специальном приборе;
- Ангиографию. Специалист исследует кровеносные сосуды, используя контрастирование;
- Нейросонографию. Ультразвуковое обследование детского мозга проводится с использование большого родничка. Исследование проводится маленьким пациентам при наличии подозрений на патологические нарушения в мозге.
Лечение анапластической эпендимомы в Tel Aviv Medical Clinic
Опытные специалисты медицинского центра на протяжении многих лет проводят сложнейшие операции на мозге. Использование современных методов, высокотехнологического оборудования, дорогостоящей, эксклюзивной аппаратуры позволяет применять инновационные методики лечения.

























