
Анапластическая эпендимома – относится к злокачественному образованию в центральной нервной системе, которое состоит из эпендимальной ткани желудочковой системы мозга. Опухоль отличается от других видов своим агрессивным ростом и быстрым распространением метастаз. Врач, который обнаружил патологию, приступает к немедленному ее лечению. Человек может не подозревать о наличии заболевания, так как симптоматика на начальном этапе не слишком выражена.
Как проявляется патология
Если вы заметили следующие симптомы, вам следует незамедлительно обратиться за квалифицированной помощью к специалисту:
- Сильная головная боль;
- Тошнота или рвота;
- Нарушение равновесия и координации движений;
- Судороги;
- Частичный паралич конечностей;
- Потеря сознания;
- Ухудшение зрения, слуха и памяти.
Квалифицированный специалист проведет необходимую диагностику и назначит правильное лечение.
Диагностика и лечение патологии в клинике Tel Aviv Medical Clinic
В нашей израильской клинике работает настоящая команда профессионалов, которая более 10 лет занимается лечением и выявлением опасных патологий центральной нервной системы, в том числе анапластической эпендимомы. Мы используем оригинальные препараты и новейшие технологии терапии. Врачи обладают высшей квалификацией и огромным практическим опытом. Наш медперсонал ежегодно проходит специальное обучение в ведущих европейских и американских заведениях.
В клинике установлены тарифы на уровне государственных. Таким образом, вы получаете широкий спектр услуг по приемлемой стоимости. В центре поддержки родителей и детей можно получить квалифицированную помощь психолога, а также пройти курс реабилитации. Наши сотрудники помогут связаться с благотворительными фондами для сбора средств на лечение.
Для постановки верного диагноза врач использует следующие методы диагностики:
- Анализ крови;
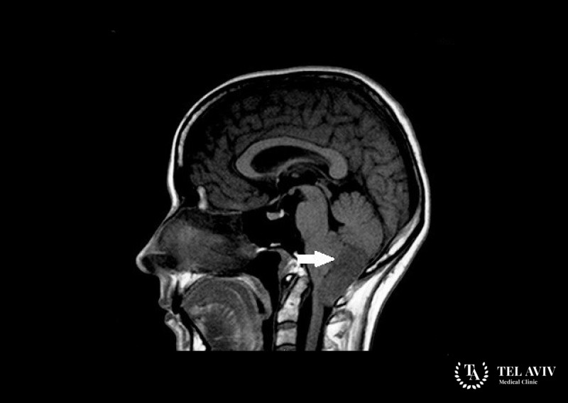
- МРТ или КТ;
- Рентген;
- Ангиография;
- Биопсия.
Наиболее эффективным методом избавления от патологии является удаление опухоли. Врачи используют малотравматичные способы проведения операции, которые являются безопасными для пациента. После проведения хирургического вмешательств. Специалист предлагает пройти курс химиотерапии для уничтожения оставшихся патологических клеток. Стоит отметить, что врачам нашей клиники удается помочь даже в самых трудных ситуациях.

























