
Анапластическая эпендимома – это редкий и крайне агрессивный рак центральной нервной системы, развивающийся из клеток эпендимы желудочков мозга и центрального канала спинного мозга. Данное заболевание опасно тем, что оно быстро прогрессирует, и состояние больного может ухудшаться буквально на глазах. Диагностируется этот вид злокачественной опухоли как у детей, так и у взрослых. Пятилетняя выживаемость после проведения операции во многом зависит от размеров, места локализации новообразования, а также от возраста пациента.
Симптомы
С учетом того, что опухоль быстро прогрессирует и увеличивается в размерах, за медицинской помощью необходимо обращаться немедленно при появлении первых симптомов.
К неспецифическим общим симптомам, которые появляются вне зависимости от места локализации рака, относятся:
- Тошнота и рвота;
- Изменение поведения и спутанность сознания;
- Сильные и частые головные боли, головокружение;
- Потеря аппетита и веса;
- Общая слабость и снижение работоспособности;
- Апатия;
- Боли в спине;
- Задержка развития у детей.
Также на данное заболевание могут указывать и другие симптомы, которые зависят от месторасположения опухоли. Это могут быть: судороги, тремор, пошатывания при ходьбе и потеря координации, проблемы с речью, ухудшение зрения, проблемы со сном и прочее.
Диагностика и лечение
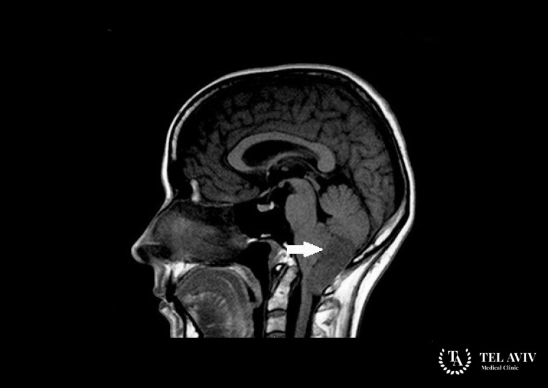
Если изучение истории болезни и симптоматика дают врачу подозрения на злокачественную опухоль в центральной нервной системе, то пациенту назначаются диагностические исследования. Наиболее эффективными методами диагностики рака головного мозга являются компьютерная томография и МРТ. С учетом быстрого роста опухоли и ее агрессивности, диагностировать ее, как правило, не составляет опытному специалисту никакого труда.
Основным методом лечения опухоли является хирургическая операция, во время которой нейрохирурги стараются полностью удалить рак. Однако данный вид опухоли лечится только комплексно, так как всегда есть большая вероятность того, что в организме остались мельчайшие клетки эпендимомы, которые в будущем могут привести к тому, что рак вернется. По этой причине нейрохирургическое лечение не прекращается даже после операции. Может использоваться лучевая терапия или химиотерапия.
Почему для лечения анапластической эпендимомы следует обращаться в клинику Tel Aviv Medical Clinic
Анапластическая эпендимома – это один из опаснейших видов рака, лечением которого должны заниматься только лучшие нейрохирурги, имеющие огромный опыт и международную практику. Именно такие специалисты работают в медицинском центре Tel Aviv Medical Clinic.

























