
Доброкачественная остеобластома – образование остеогенной природы, которое встречается в 12% случаев у людей в возрасте 50 лет. Опухоль представляет собой округлое образование, из которого может выделяться кровь. Заболевание развивается медленно и на начальных стадиях никак себя не проявляет. Образование может прорасти в соседние структуры. Обнаружить патологию врач может случайно, во время проведения диагностики по другому вопросу. Зачастую опухоль поражает челюсть и вызывает массу дискомфорта.
Когда необходимо обратиться к врачу
Если вы заметили возникновение следующих признаков, следует незамедлительно обратиться к врачу:
- Наличие ноющих болей в пораженном участке;
- Отек или припухлость;
- Ограничение подвижности сустава;
- Возникновение хромоты при поражении конечностей;
- Искривление костей;
- Частичный паралич;
- Потеря чувствительности.
К счастью, заболевание хорошо реагирует на лечение. однако, чем раньше будет обнаружена патология, тем лучше прогноз для пациента.
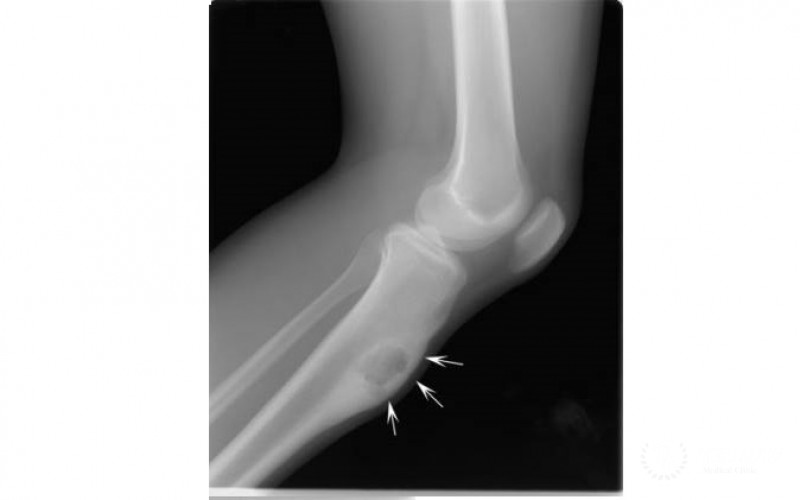
Как проводится диагностика патологии
Чтобы поставить верный диагноз, врач использует следующие методики диагностики:
- Осмотр;
- Анализ крови;
- Рентгенография;
- ПЭТ КТ;
- Сцинтиграфия;
- МРТ;
- Биопсия для уточнения характера заболевания.
Особенности лечения заболевания в клинике Tel Aviv Medical Clinic
Наша клиника является лучшей в Израиле. К нам обращаются пациенты со всего мира. Наши врачи обладают необходимыми знаниями и умениями для выявления и лечения заболевания. Наши сотрудники ежегодно повышают свой уровень квалификации. Мы используем уникальные методики терапии и оригинальные препараты. В клинике установлены тарифы на уровне государственных. Таким образом, вы получаете широкий спектр услуг по приемлемой цене. В случае необходимости наши сотрудники помогут связаться с благотворительными фондами для сбора средств на лечение.
Наиболее эффективным методом избавления от патологии является ее иссечение. Наши хирурги применяют малоинвазивные методы оперативного вмешательства. после проведения операции пациенту какое-то время необходимо находится в условиях стационара под пристальным контролем врачей. Таким образом, специалистам отделения удается помочь даже в самых трудных случаях.

























