
Разновидностью доброкачественной опухоли, возникающей из костной ткани, является остеоблатома. По сравнению с остеоидом-остеомы, данное новообразование имеет тенденцию к стремительному росту и отличается большим размером. От общего числа костных опухолей, заболевание составляет не более 1%. Остеобластома поражает в основном лиц не старше тридцати лет, локализуясь в зоне кистей рук, позвоночнике, плечевых костях, в костной ткани челюсти. Ее развитие протекает чаще без ярко выраженной симптоматики, сопровождаясь не интенсивной, ноющей болью.
Развиваясь в позвоночнике, остеобластома способна спровоцировать появление мышечных судорог, сколиоза, и даже атрофию мышц. При очаге в области челюсти образуется опухоль с кровоточащей тканью. При этом она влияет на смещение зубов и диспропорцию лица. Микроскопически в составе остеобластомы наблюдаются остеобласты, волокнистая ткань с обилием сосудов, фиброзная ткань, митозы. Новообразование не превышает в диаметре 6 см, состоит из мелких полостей с бурой жидкостью, и окружено небольшим пластом молодой костной ткани.
Причины возникновения
Действительные причины развития костной патологии остаются до конца не выясненными. Предположительно на появление опухоли могут влиять такие факторы:
- генетическая предрасположенность и или внутриутробное инфицирование;
- хронические костные недуги;
- радиоактивное излучение;
- воздействие онкогенных вирусов или химических веществ;
- травма кости;
- неблагоприятная экологическая ситуация.
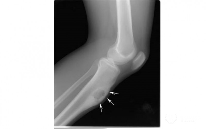
Диагностика остеобластомы
Доброкачественное новообразование имеет благоприятные прогнозы, после лечения не наблюдается рецидивов. Под кожей на месте опухоли не происходит видимых изменений. Но зная симптомы, можно предположить наличие заболевания и своевременно обратиться к врачу для установления более точного диагноза:
- тупые, не прекращающиеся боли, которые продолжаются вне зависимости от физических усилий и времени суток, но купируются приемом препаратов с содержанием ацетилсалициловой кислоты;
- в зависимости от очага поражения может деформироваться кость.
Специалист после осмотра больного проведет детальное исследование места заболевания с применением рентгенографии, УЗИ, МРТ.
Лечение остеобластомы в Tel Aviv Medical Clinic
В зависимости от результатов диагностики специалисты ведущей израильской клиники назначат лечение. Если клиническая картина покажет рост опухоли, или ее препятствие нормальной жизнедеятельности организма, назначается операция. Благодаря опыту и знаниям врачей клиники, наличию современного оборудования, удаление пораженных тканей пройдет для пациента с максимальной безболезненностью.

























