
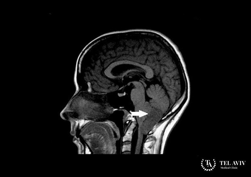
Эпендимома – является злокачественной опухолью ЦНС, которая состоит из ткани, выстилающей изнутри желудочки головного мозга и центральный канал спинного мозга. Данная патология является крайне опасной и может прорасти в соседние структуры и ткани. Человек может не подозревать о наличии заболевания на начальном этапе, так как симптоматика выражена кране слабо. Зачастую опухоль возникает из-за распространения метастаз по телу. Заболевание врач может обнаружить у взрослого любого возраста. Необходимо немедленно приступить к его лечению во избежание возникновения нежелательных осложнений.
Как проявляется заболевание
Если вы заметили следующие признаки развития патологии, необходимо незамедлительно обратиться к специалисту:
- Сильна головная боль;
- Тошнота или рвота;
- Нарушение равновесия и координации движений;
- Судороги;
- Частичный паралич конечностей;
- Потеря сознания;
- Ухудшение зрения, слуха и памяти.
Квалифицированный специалист проведет необходимое обследование и подберет индивидуальную схему терапии.
Диагностика и лечение патологии в клинике Tel Aviv Medical Clinic
В ведущей израильской клинике работает настоящая команда профессионалов, которая занимается выявлением и лечением опасных патологий головного мозга у взрослых, в частности эпендимомы IV желудочка. Мы используем оригинальные препараты и новейшее оборудование. Наши хирурги используют малоинвазивные способы хирургического вмешательства, которые являются наиболее эффективными и малотравматичными.
Палаты отделения оснащены всем необходимым. Наш медперсонал ежегодно совершенствует свои навыки в ведущих европейских и американских лечебных заведениях. Мы установили тарифы на уровне государственных. Таким образом, наши услуги стали доступнее для различных слоев населения. В центре поддержки родителей и детей можно получить квалифицированную помощь психолога, а также пройти курс реабилитации. В случае необходимости наши сотрудники помогут связаться с благотворительными фондами для сбора средств на лечение.
Перед проведением хирургического вмешательства врач использует диагностические методы, которые включают в себя:
- Анализ крови;
- МРТ или КТ;
- Рентген;
- Ангиография;
- Биопсия.
На основе полученных данных подбирается схема терапии. После проведения операции пациенту предлагают пройти курс химиотерапии для уничтожения оставшихся клеток.

























