
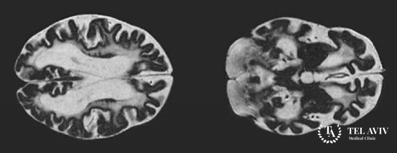
Глутарацидурия тип I – относится к наследственным заболеваниям, для которого характерно накопление в организме глутаровой кислоты, которое вызывает расстройство ЦНС и ведет к необратимым последствиям в головном мозге. Первый тип связан с мутацией в гене, кодирующем глутарил-КоА дегидрогеназу. Дефицит этого вещества приводит к отеку мозга, угнетению сознания и комы. Врач может заподозрить наличие патологии у ребенка раннего возраста. Без должного лечения малыш может погибнуть.
Как проявляется патология
Родители малыша могут заметить следующие тревожные признаки:
- Повышение температуры тела;
- Частые срыгивания;
- Рвота;
- Расстройство кишечника;
- Судороги;
- Подвывихи суставов;
- Снижение тонуса мышц;
- Неврологические расстройства;
- Нарушение ходьбы;
- Задержка развития;
- Утрата приобретенных навыков;
- Повышенная утомляемость;
- Косоглазие;
- Нарушение речи.
Стоит помнить, что вовремя диагностированное заболевание легче поддается лечению. Поэтому не стоит рисковать здоровьем малыша, следует незамедлительно обратиться за квалифицированной помощью.
Диагностика и лечение патологии в клинике Tel Aviv Medical Clinic
Детский врач нашей клиники обладает обширными знаниями и умениями в области лечения генетических заболеваний. С помощью новейшего оборудования можно обнаружить развитие патологии на начальном этапе. Мы используем инновационные методики терапии, которые являются наиболее эффективными. Наш медперсонал ежегодно проходит стажировку и знает, как наладить дружеские отношения с детьми.
В нашей клинике установлены цены на уровне государственных больниц. Таким образом, вы получаете широкий спектр услуг по приемлемой стоимости. Мы предоставляем комфортабельные палаты для совместного пребывания мамы и малыша. Наши сотрудники помогают связаться с международными благотворительными фондами для сбора средств на лечение.
Для постановки верного диагноза врач использует следующие методики диагностики:
- Осмотр;
- Анализ крови и мочи;
- Генетические тесты;
- МРТ;
- УЗИ;
- Рентгенография и другие.
На основе полученных данных специалист подбирает индивидуальную схему терапии с учетом особенностей развития, наличия сопутствующих заболевания и аллергической реакции. Зачастую врач назначает прием медикаментов, соблюдение диеты. С течением времени симптомы у ребенка проходят, и он возвращается к активному образу жизни.

























