
Кавернома головного мозга возникает в кровеносных капиллярах и имеет доброкачественную природу. Несмотря на это, она способна привести к осложнениям, таким как нарушенная функция мозга. Часто обнаруживается кавернозная ангиома случайно, во время проведения исследования. Беря свое начало в сосудах, опухоль может локализоваться в любом участке головного мозга. Из-за местонахождения и редкости заболевания, новообразование не так давно трудно поддавалось обнаружению. Но благодаря прогрессу в сфере визуальной диагностики, распознать сосудистую патологию стало возможным даже на начальных стадиях роста.
Основные симптомы, указывающие на каверному головного мозга
В случае если кавернозная ангиома протекает с симптомами, их клинические проявления отличаются разнообразием и конкретикой.
- Припадки эпилепсии.
- Судороги.
- Кровоизлияние в головной мозг.
- Головные боли, которые невозможно купировать простыми анальгетиками.
- Нарушение слуха, расстройство речи.
- Нарушенная глотательная функция.
- Онемение.
- Проблемы с координацией.
- Паралич.
Общая клиническая картина зависит от места, где находится сосудистая патология. Небольшие размеры ангиомы могут не представлять особой опасности. Но если задет ствол головного мозга, где находятся важные структуры, опухоль угрожает серьезными осложнениями. Она может спровоцировать кровоизлияние, давить на центры, отвечающие за сердцебиение и дыхание. В таких случаях вмешательство нейрохирурга становится жизненно необходимым.
Какие методы помогают диагностировать кавернозную ангиому
В ходе осмотра и визуального обследования, врач должен выявить локализацию внутричерепного образования.
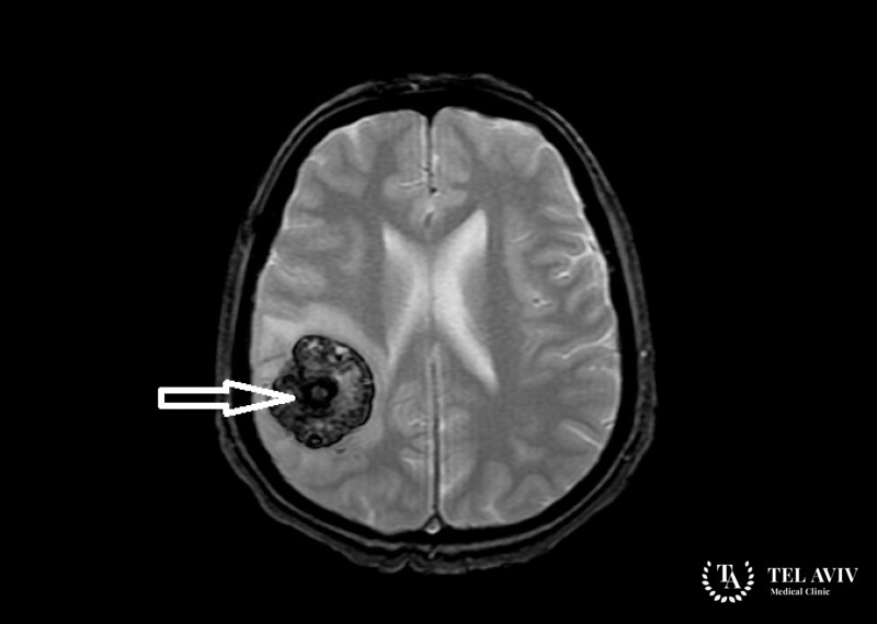
- МРТ с контрастом дает изображение даже сгустков небольших размеров.
- Компьютерная томография, как альтернатива более информативной МРТ.
Лечение сосудистой патологии
Если кавернома располагается в доступном участке головного мозга и угрожает здоровью и жизни пациента, применяется хирургическое лечение. Прогноз операции носит благоприятный характер, хотя и могут быть осложнения. В некоторых случаях, когда заболевание выявлено поздно и необратимые изменения в мозговом веществе уже произошли, операция не избавит больного от приступов эпилепсии. Иногда в комплексе или отдельно применяется лучевая терапия.
Отделение нейрохирургии медицинского центра Tel Aviv Medical Clinic специализируется на выполнении сложнейших операций, связанных с патологическими процессами головного мозга. Наша клиника оснащена инновационным оборудованием, использует уникальные, высокоэффективные технологии.

























