
Хориоидпапиллома – это доброкачественная опухоль сосудов головного мозга, которая состоит из эпителия артериальных и венозных сплетений желудочков. Зачастую данное новообразование появляется у детей до 2 лет и является причиной развития гидроцефалии. Причины появления данного заболевания неизвестны. Ученые предполагают, что развитие хориоидпапилломы происходит из-за воздействия радиации и наследственности.
Симптоматика заболевания
Заболевание поражает желудочки головного мозга. Исходя из того, что новообразование является доброкачественным, оно не оказывает влияние на клетки головного мозга и на весь организм в целом. Проблема заключается в том, что по достижении огромных размеров, опухоль вызывает повышение артериального давления. Вследствие данного фактора, возникают следующие симптомы:
- головная боль;
- тошнота и рвота;
- головокружение;
- снижение работоспособности;
- повышенная утомляемость;
- появление галлюцинаций;
- ухудшение сна;
- наличие судорог;
- чувство покалывания в конечностях;
- психические расстройства;
- ухудшение памяти и зрения.
Проявление данных симптомов должны вас насторожить и призвать к немедленному обращению в больницу.
В ведущей израильской клинике Tel Aviv Medical Clinic находится лучшее в стране отделение нейрохирургии головного мозга. Наши специалисты прошли стажировку в лучших университетах Европы и Америки. Медперсонал обладает обширными знаниями и опытом для проведения сложных операций на головном мозге. Процент успешно выздоровевших пациентов достигает более 90%. Наши нейрохирурги применяют малоинвазивные методы оперативного вмешательства, которые являются более эффективными и безопасными в лечении патологий мозга.
Диагностика заболевания
Для выявления наличия заболевания необходимо обследовать структуры головного мозга. В этом помогут следующие диагностические методы:
- осмотр и сбор анамнеза болезни;
- лабораторные данные;
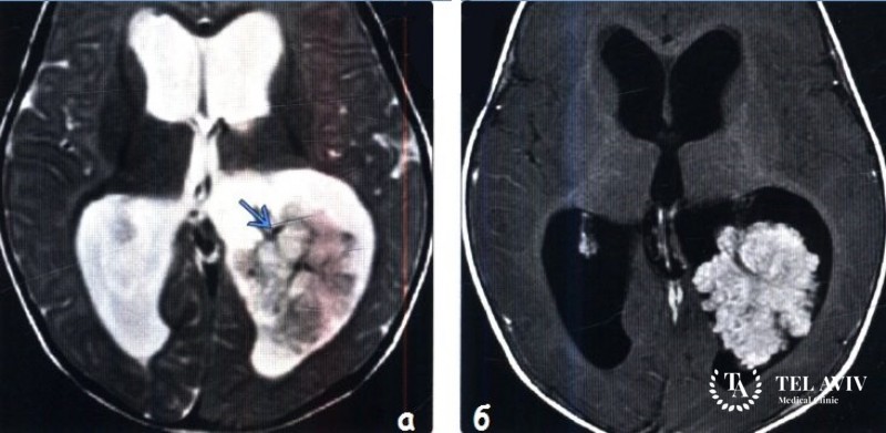
- МРТ или КТ;
- биопсия.
С помощью данных способов врач определяет размер и локализацию опухоли и устанавливает окончательный диагноз.
Лечение хориоидпапилломы
Успешный исход лечения заболевания зависит от квалификации врача и от соблюдения всех предписаний пациентом. Так как опухоль является доброкачественной, рецидивы возникают крайне редко. В клинике Tel Aviv Medical Clinic используют комплексный подход в лечении заболевания. Наши пациенты получают консультацию нейрохирурга, анестезиолога, терапевта, невролога. На протяжении всех этапов лечения за пациентом наблюдает наш квалифицированный медперсонал.
Наиболее эффективным методом избавления от наличия опухоли является хирургическое вмешательство. Благодаря использованию малоинвазивных методик, удается избежать развитие нежелательных осложнений и рецидива болезни.

























