
Кисты относятся к доброкачественным образованиям. Они наполнены жидкостью, фрагментами мягкой ткани. Обладают склонностью к инвазивному росту, увеличению размера. Стимулируют развитие выраженных очаговых, общемозговых симптомов. Причина развития кистозного образования не выявлена. Возможна врожденная патология, развивающаяся у плода в утробе. Киста в мозге становится последствием воспалительных, инфекционных процессов, кровоизлияний, травм. Солидные опухолевые процессы сопровождаются формированием новообразований в мозге.
Симптоматика кисты в головном мозге
Образование небольшого размера не вызывает специфичных симптомов. Увеличиваясь в размерах, киста начинает давить на соседние органы, ткани. Нарушается отток ликвора, формируя очаговые признаки развития патологии. Среди распространенных симптомов:
- Проблемы со зрением;
- Появление головных болей, приступов тошноты, рвоты;
- Головокружения;
- В детском возрасте нарушается психомоторное развитие;
- Клонические, тонические судороги;
- Потеря равновесия.
Осложненная форма кистозного образования приводит к внутримозговому кровотечению. При вторичной гидроцефалии вероятная тяжелая инвалидность.
Разновидности кист головного мозга
Специалисты выделяют классы кистозных новообразований головного мозга:
- Шишковидные кисты имеют небольшие габариты, симптоматика отсутствует;
- Арахноидальные кисты нарушают нормальную циркуляцию спинномозговых жидкостей;
- Дермоидные кисты относятся к врожденным патологиям, поражают центральную нервную систему;
- Сосудистые образования сопровождаются иными формами врожденной патологии. Болезнь развивается на первых месяцах беременности;
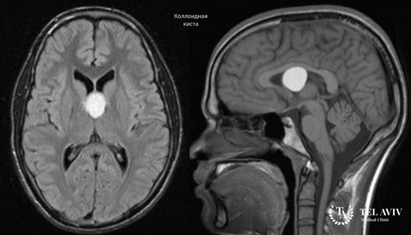
- Коллоидные новообразования в мозге вырастают до больших размеров, вызывают гидроцефалию.
Отдельная категория кистозных образований развивается рядом с опухолевыми процессами доброкачественного, злокачественного типа. Происходит увеличение отечности, ухудшается общее состояние организма.
Лечение кист головного мозга в Tel Aviv Medical Clinic
Ведущая клиника Израиля полностью оснащена ультрасовременной аппаратурой, позволяющей четко диагностировать патологию, выявить место ее расположения, размерность, характер. Врачи медицинского центра – опытные специалисты высшей категории. Они помогли тысячам больных избавиться от кистозных образований в головном мозге, вернуться к здоровой жизни.

























