
Киста головного мозга – это внутричерепное образование, представляющее собой полость, заполненную жидкостью. Кисты бывают врожденными и приобретенными, поэтому могут встречаться в любом возрасте, в том числе и у новорожденных детей. Врождённые кисты являются результатом нарушения внутриутробного развития оболочек головного мозга.
Какие факторы влияют на возникновение патологии?
Основными факторами, из-за которых формируется врожденная киста мозга, являются любые негативные воздействия на плод в антенатальном периоде:
- Резус-конфликт;
- Курение, прием алкоголя или наркотиков в период беременности;
- Внутриутробная интоксикация;
- Кислородное голодание.
Симптоматика
При отсутствии лечения могут возникать опасные осложнения в виде сдавливания головного мозга, разрыва образования и др. Поэтому крайне важно не игнорировать тревожную симптоматику и своевременно обращаться за медицинской помощью.
Есть целый ряд симптомов, указывающих на наличие кисты в головном мозге:
- Частые и сильные головные боли, интенсивность болей во многом зависит от места локализации образования;
- Ощущение давления на глазные яблоки;
- Нарушения сна;
- Ощущение пульсации в висках;
- Тошнота;
- Головокружение;
- Ухудшение зрения;
- Сужение зрительного поля;
- Припадки эпилепсии;
- Двоение в глазах;
- При существенных увеличениях кисты в размерах могут возникать зрительные галлюцинации, усиливаться головные боли, в результате чего обезболивающие препараты перестают помогать.
Диагностика и лечение кисты головного мозга
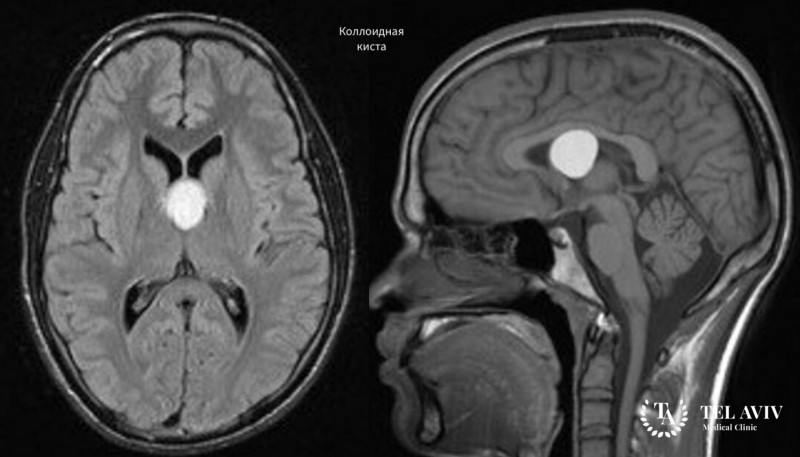
Предварительный диагноз ставится на основе клинической симптоматики. Для подтверждения диагноза могут назначаться визиометрия, офтальмоскопия, эхо-энцефалографии (определяет внутричерепное давление). Для визуализации кисты назначается УЗИ и МРТ.
На основании полученных диагностических исследований врач назначает лечение. Хирургическая операция является основным методом лечения кисты головного мозга. Проводятся такие операции: эндоскопические методы хирургии, шунтирование желудочков головного мозга, дренаж кисты.
В израильской клинике Tel Aviv Medical Clinic при лечении кисты головного мозга применяются малотравматичные эндоскопические и микро-нейрохирургические операции. Оперативные вмешательства проводятся высококвалифицированными нейрохирургами с огромным опытом.

























