
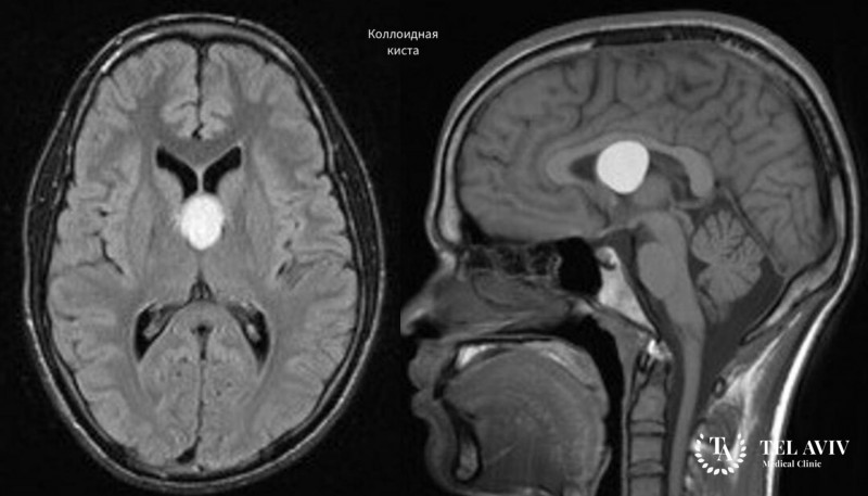
Коллоидная киста головного мозга – это опухолевое заболевание, которое локализуется в полости III желудочка головного мозга. Изначально новообразование имеет незначительные размеры (до 5 миллиметров), но под воздействием определенных факторов киста начинает увеличиваться в размерах. До конца не изучено, что является триггером для ее роста, однако некоторые исследования говорят о том, что росту новообразования могут способствовать недосыпания, переутомляемость, сильные стрессы, курение и злоупотребление алкоголем.
Симптоматика
Небольшие новообразования, которые имеются у человека с рождения, могут на протяжении многих лет никак не проявляться. Они не влияют на качество жизни и не несут реальной угрозы. Опасность возникает лишь в том случае, если коллоидная киста начинает интенсивно расти.
Клинические проявления заболевания во многом зависят от размеров кисты. У людей, страдающих от коллоидной кисты, наблюдаются следующие симптомы:
- Увеличение внутричерепного давления;
- Часто возникающие сильные головные боли;
- Предобморочные состояния;
- Шум в ушах;
- Нарушение зрения;
- Ухудшение кратковременной памяти;
- Нарушение обмена веществ;
- В самых тяжелых случаях при отсутствии лечения больной может впасть в кому из-за острой закупорки ликворных путей.
Постановка диагноза
Врач проводит опрос и осмотр пациента, и в случае возникновения подозрений на опухолевое заболевания мозга направляет пациента на компьютерную томографию головного мозга, ПЭТ-МРТ и офтальмологическое обследование. В большинстве случаев для постановки правильного диагноза такой диагностики вполне достаточно.
Как лечится коллоидная киста?
Если новообразование имеет небольшие размеры, и при этом не наблюдается симптоматика, то выбирается тактика выжидания. Не предпринимаются никакие меры по лечению, но пациент каждый год проходит обследования, чтобы при увеличении кисты в размерах своевременно это обнаружить.
Если же новообразование имеет значительные размеры, а течение заболевания сопровождается ярко выраженными неприятными симптомами, то больному назначается хирургическая операция, цель которой полностью удалить кисту, восстановить проходимость ликворных путей и снизить внутричерепное давление.
В клинике Tel Aviv Medical Clinic операции по удалению кисты головного мозга проводятся опытными нейрохирургами с высокой квалификацией. В нашем медицинском центре находится одно из лучших в Израиле отделений нейрохирургии головного мозга, поэтому мы успешно лечим самые запущенные заболевания и беремся за самых сложных пациентов.

























