
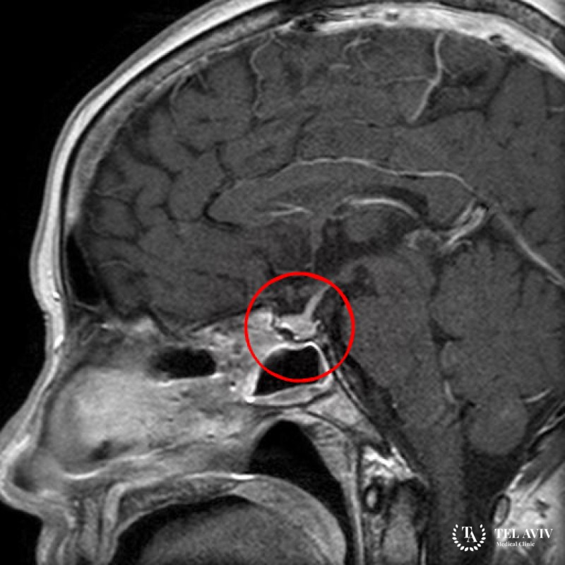
Кортикотропинома – это одна из форм аденомы гипофиза. Доброкачественное, гипофизарное новообразование. Функциональная железистая неоплазия встречается в пятнадцати процентах среди опухолей в головном мозге. Место дислокации доброкачественной патологии – питуитарная железа. Кортикотропиному относят не к опухолям в мозге. Ее классифицируют в качестве эндокринного новообразования.
Симптоматика кортикотропиномы
В организме человека, у которого развивается кортикотропинома, происходит активная инициация выработки адренокортикотропных гормонов. Кора надпочечников выделяет гормон кортизол с высокой скоростью. Стимуляция коры осуществляется за счет гипофизарного адренокортикотропного гормона. Главным симптомом становится развитие нейроэндокринного заболевания Иценко Кушинга. Переизбыток гормона в организме проявляется на начальных этапах болезни:
- Накапливаются жировые ткани в конкретных зонах. Больше всего подвержена ожирению задняя поверхность шеи, лицо, верхняя часть организма, живот. Конечности человека остаются худощавыми;
- Кортикотропинома оказывает воздействие на сердечный ритм, возникают сбои в работе сердца;
- Артериальное давление повышается;
- Сахара в крови растет, что показывает стандартный анализ крови;
- Учащается мочеиспускание;
- Кости становятся менее прочными, склонными к переломам;
- Мышцы атрофируются;
- Возможно появление угревых высыпаний, эпителиальных кровоизлияний.
Как лечить кортикотропиному
Большинство пациентов приходят к специалисту с характерными жалобами, не подозревая о наличии новообразования. Постепенно из доброкачественной оно превращается в злокачественную опухоль. Метастазирование на момент диагностики болезни приводит к необходимости операционного вмешательства. Проводятся паллиативные манипуляции для устранения симптоматики гиперкортицизма. Рекомендуется проведение двусторонней адреналэктомии. Существует ряд препаратов, назначаемых для восстановления работы надпочечников. Они подбираются в индивидуальном порядке.
Лечение кортикотропиномы в Tel Aviv Medical Clinic
Специалисты ведущей клиники Израиля Tel Aviv Medical Clinic более десяти лет занимаются вопросами нейрохирургии, аденомы, других заболеваний эндокринной системы. За время работы они помогли тысячам пациентов избавиться от трудных болезней, вернуться к прежней, здоровой жизни. Наличие высокотехнологической аппаратуры позволяет врачам использовать прогрессивные методики, доступные лишь в нескольких клиниках мира.

























