
Костная киста – представляет собой патологическую полость, которая возникает в результате нарушения местного кровообращения и активации ферментов, которые вызывают разрушение костного вещества. Патология развивается медленно. Человек может не подозревать о наличии заболевания, так как симптоматика выражена слабо. По мере роста опухоли, она начинает сдавливать соседние структуры и возникает чувство дискомфорта. Данная патология является генетической мутацией или может образоваться из-за ранее полученной травмы. Зачастую врач может обнаружить заболевания у людей до 30 лет.
Когда необходимо обратиться к врачу
Если вы заметили возникновение следующих симптомов, следует записаться на прием к специалисту:
- Наличие уплотнения с четкими границами;
- Боль при надавливании;
- Ограничение в движении;
- Неврологические расстройства;
- Повышение температуры тела.
Опытный специалист проведет диагностику заболевания и назначит правильное лечение.
Как проводится диагностика патологии
Чтобы поставить верный диагноз, врач использует следующие методики:
- Осмотр;
- Анализ крови;
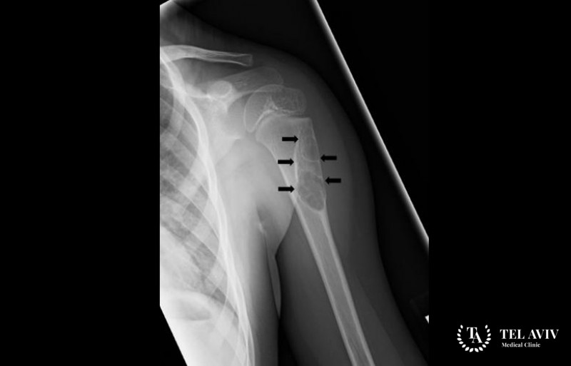
- Рентгенография;
- МРТ или КТ;
- Риноскопия;
- Биопсия;
- Сцинтиграфия и другие.
На основе полученных данных подбирается индивидуальная схема терапии. Чем раньше обнаружена патология, тем легче от нее избавиться.
Как проводится лечение заболевания в клинике Tel Aviv Medical Clinic
Наиболее эффективным методом лечения является удаление новообразования. Хирурги отделения используют малоинвазивные методики проведения операции, которые являются эффективными и безопасными для пациента. После процедуры врач рекомендует больному сохранять покой и не нагружать пораженной участок. Пациент некоторое время находится в стационаре под пристальным контролем врача.
Стоит отметить, что в нашей клинике установлены тарифы на уровне государственных. Это станет приятным бонусом для наших клиентов. Мы используем новейшее оборудование и уникальные методики терапии. Врачи отделения обладают необходимыми навыками и знаниями для лечения заболеваний костной ткани. Наши сотрудники ежегодно повышают свой уровень квалификации. В случае необходимости наш медперсонал поможет связаться с благотворительными фондами для сбора средств на лечение.

























