
Костная киста – это заболевание, которое характеризуется наличием полости в кости, заполненной жидкостью. Патология возникает из-за нарушения местного кровообращения и активации ферментов, разрушающих костное органическое вещество.
Различают солитарные и аневризмальные кисты костей. Возникнуть заболевание может в любом возрасте, но чаще всего оно встречается у молодых мужчин. В большинстве случаев диагностируется патология после перелома.
Симптомы
Данное заболевание сопровождается болями, которые могут быть умеренными или сильными. Болевой синдром усиливается при физических нагрузках. В месте локализации кисты у больного возникает небольшая отечность и припухлость. Из-за воздействия на спинной мозг могут начаться неврологические расстройства.
Если киста имеет большие размеры и локализуется в области проксимального диафиза бедра, может появиться незначительная хромота. При локализации патологии в костях нижних конечностей может также возникать нарушение опоры.
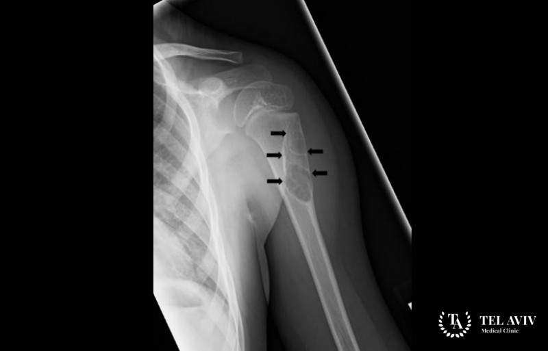
Диагностика и лечение заболевания
При подозрениях на наличие костной кисты пациента отправляют на рентгенографию. Такой метод диагностического исследования позволяет поставить точный диагноз. Во время лечения пациенту часто назначают рентген и УЗИ, это позволяет следить за течением заболевания и оценивать эффективность выбранного лечения.
В качестве основного лечения обычно используется медикаментозное лечение, которое сочетается с различными физиопроцедурами. Если киста выявлена на ранних стадиях, то терапевтическое лечение, как правило, дает положительный результат. Заболевание проходит быстро и без каких-либо осложнений. Если киста запущена или не поддается медикаментозному лечению, то больному назначается оперативное вмешательство.
Лечение костной кисты в израильской клинике Tel Aviv Medical Clinic
В израильском медицинском центре Tel Aviv Medical Clinic лечением костной кисты занимаются высококвалифицированные специалисты из отделения ортопедической онкологии. В нашей клинике работают одни из лучших в стране онкологов, радиотерапевтов, хирургов и других врачей, имеющих огромный опыт в лечении разных онкологических заболеваний. В том числе в нашей клинике проводится эффективное лечение костной кисты.

























