
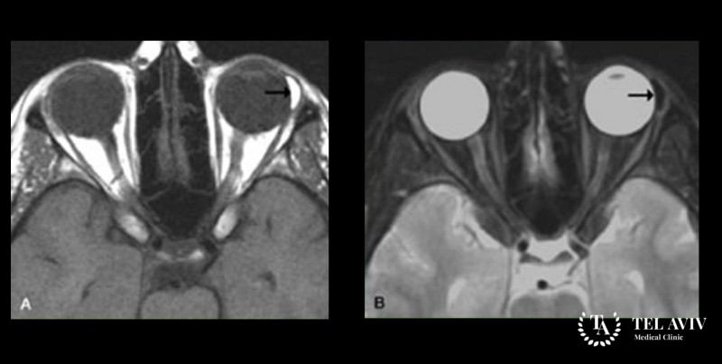
Котомковидная дермоидная киста орбиты – это доброкачественная опухоль которая развивается при нарушениях бласто- и эмбриогенеза. Новообразование имеет овальную или округлую форму, а его стенки состоят из соединительной ткани. Для данной патологии характерно медленное течение и постепенное смещение глазного яблока вперед (экзофтальм). Из-за этого ограничиваются функции экстраокулярных мышц, появляется диплопия. Диагностируется заболевание, как правило, у людей старше 15 лет.
Симптомы
Из-за медленного течения больной может годами не догадываться о наличии у него патологии. Однако когда экзофтальм увеличивается до 0.7-1.4 сантиметра, возникают сильные распирающие боли в области орбиты. Также возможны различные нарушения зрения и атрофия зрительного нерва. Из-за возможных осложнений рекомендуется не откладывать с посещением врача. Шансы на полное выздоровление без осложнений во многом зависят от своевременности обращения за медицинской помощью.
Диагностика
После офтальмологического исследования и сбора анамнеза врач может назначить следующие диагностические исследования: рентгенография и компьютерная томография. В большинстве случаев с постановкой диагноза не возникает проблем. Однако очень важным является этап проведения дифференциальной диагностики. Необходимо исключить сосудистую опухоль, невриному, опухоль слизистой железы, холестеатому и остеомиелитому.
Лечение котомковидной дермоидной кисты орбиты в клинике Tel Aviv Medical Clinic
При своевременном обращении за медицинской помощью прогноз для зрения и жизни благоприятный. Основной метод лечения данной патологии – хирургическая операция. Цель оперативного вмешательства – удаление целостной капсулы кисты и предотвращение попадания ее содержимого в область орбиты.
Операция по удалению котомковидной дермоидной кисты орбиты является довольно сложной, так как при ее неправильном проведении возможны различные осложнения. Именно поэтому для лечения следует обращаться к лучшим врачам. Именно такие специалисты работают в клинике Tel Aviv Medical Clinic.
Tel Aviv Medical Clinic – это крупный израильский медицинский центр, в котором проводятся сложнейшие операции на глазах. В клинике работает передовое отделение офтальмологической онкологии, оснащенное всем необходимым оборудованием. Врачи клиники применяют передовые методики лечения, позволяющие добиваться поразительных результатов в лечении любых опухолей.

























