
Лимфомы – гематологические заболевания, вызывающие поражение лимфатической системы организма. Первичный симптомом развитие лимфомы является увеличенный размер лимфатического узла. Данный узел может быть расположен в любой области – подмышкой, в паху, на шее.
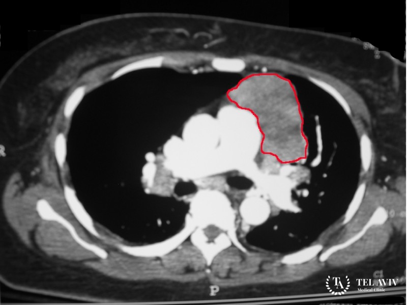
Разновидности распространенных лимфом средостения
В медицине существует специализированная классификация лимфом средостения. Выделяют множество форм развития патологии. Среди наиболее распространенных отмечают:
- Лимфому Т-клеточного типа;
- Лимфому Ходжкина;
- Медиастинальные лимфомы, поражающие серые зоны;
- Первичные медиастинальные В-клеточные образования крупноклеточного типа;
- Индолентную неходжкинскую опухоль;
- Диффузную В-клеточную лимфому крупноклеточной группы.
Стадии развития лимфомы средостения
Лимфомы развиваются постепенно, прогрессируя с течением времени.
- На начальном этапе происходит вовлечение одного лимфатического узла, органа;
- Поражаются лимфатические узлы нескольких групп одной стороны;
- Происходит распространение лимфомы на узлы с обеих сторон. Страдает селезенка, соседние органы;
- Болезнь начинает поражать ряд внутренних органов, распространяясь на область печени, кишечника, почек, костного мозга.
Симптоматика лимфомы средостения
Медиастинальное образование вызывает ряд характерных симптомов:
- Приступы одышки при ускоренной ходьбе, физических нагрузках;
- Ощущение общей слабости, утомляемость;
- Появление болей в грудной клетке;
- Развитие синдрома верхней полой вены: на шее или в другой области выделяется набухшая вена;
- Повышение температуры тела;
- Появление профузных ночных потов;
- Резкое снижение массы тела;
- Приступы кашля.
Лечение лимфомы средостения в Tel Aviv Medical Clinic
Ведущий медицинский центр Тель-Авива на протяжении многих лет занимается изучением, диагностикой, лечением лимфом в области средостения. Лучшие онкологи Израиля используют прогрессивные методики при лечении заболеваний. Современное, дорогостоящее оборудование нового поколения открывает перед врачами колоссальные возможности. Тысячи пациентов со всего мира приезжают в Tel Aviv Medical Clinic, чтобы избавиться от сложнейших патологических нарушений.

























