
Менингиома представляет собой доброкачественную опухоль головного мозга и позвоночника, которая развивается из паутинной оболочки, окружающей нервные структуры. Менингиомы составляют около 25% от всех первичных новообразований мозга. Такое образование зачастую является единичным. Но у некоторых больных обнаруживаются многочисленные менингиомы, локализующиеся в разных зонах спинного или головного мозга. В таком случае течение заболевания более тяжелое.
Основными факторами риска возникновения данного заболевания выступают:
- Возраст после 40 лет – опухоли мозга чаще всего встречаются у людей от сорока до 70 лет;
- Высокие дозы ионизирующих излучений;
- Черепно-мозговые травмы;
- Генетические заболевания;
- Женский пол – риск развития у женщин в три раза выше, чем у представителей мужского пола.
Симптоматика
Как и любые другие доброкачественные опухоли мозга, менингиомы характеризуются медленным ростом и нередко отсутствием ярко выраженных симптомов. При бессимптомном течении заболевание чаще всего обнаруживается при проведении МРТ или КТ головы, которые проводятся по совершенно другим причинам.
Менингиомы вызывают нарушения работы мозга. А все клинические проявления делятся на общемозговые (вызываются повышением внутримозгового давления) и местные (зависят от места локализации и давления на различные анатомические структуры мозга).
Основные общемозговые симптомы:
- Сильные головные боли, особенно по ночам;
- Тошнота и рвота;
- Эпилептические припадки;
- Проблемы со зрением;
- Нарушения координации и головокружения;
- Проблемы с памятью и психикой;
- Слабость в руках и ногах, чаще с одной стороны.
Диагностика и лечение
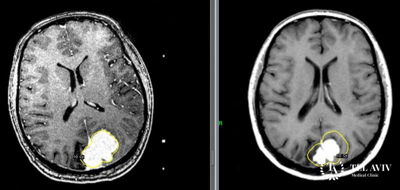
В израильском медицинском центре Tel Aviv Medical для диагностики менингиом используется ПЭТ-КТ и МРТ-диагностика с контрастом. В нашей клинике работают опытные врачи, для которых лечение менингиом является рядовой процедурой. Мы используем несколько методов лечения: лучевая терапия и хирургическое удаление менингиом. Также мы применяем роботизированную хирургию, что позволяет нашим специалистам полностью удалить опухоль без боли и риска повреждения важных структур мозга.
У нас используется самое современное оборудование, а лечение проводится врачами, которые имеют международную практику и огромный опыт работы.

























