
Нефробластомой называют злокачественную опухоль, сформированную из мутировавшей ткани почек в период внутриутробного развития. Впервые заболевание было описано немецким хирургом Вильмсом, по имени которого и была названа впоследствии опухоль. Нефробластома имеет смешанный тип, поскольку состоит из незрелых клеток эпителиальной, мышечной, почечной и хрящевой ткани. Опухоль крайне агрессивная и считается высокозлокачественной, что характеризует ее стремительный рост и распространение за пределы локализации. Поэтому патология выявляется в основном у маленьких детей, сочетаясь нередко при этом с другими врожденными дефектами развития. У взрослых лиц нефробластома диагностируется очень редко. Этиология появления опухоли Вильмса до конца не изучена. Наблюдается связь с наследственностью, а также повреждением структуры хромосомы.
Основные проявления заболевания
Нефробластома, прогрессируя вызывает специфические нарушения в организме.
- Появление в моче кровяных сгустков.
- Уплотнение в области живота.
- Расстройство желудка.
- Лихорадка.
- Повышенная потливость в ночное время.
- Кашель.
- Похудение.
- Боль в животе.
- Увеличение размеров живота
- Высокое давление.
- Отечность.
- Расширение лимфатических узлов.
Диагностика опухоли Вильмса
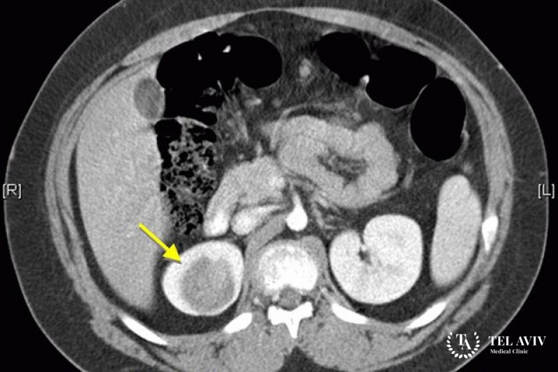
Подозрение на злокачественное образование может возникнуть у специалиста при первом же осмотре пациента. Но поскольку для взрослых нефробластома не является характерным заболеванием, потребуется проведение тщательной диагностики, с применением современных, высокоинформативных методов. Чтобы обследование прошло качественно и показало максимально точный результат, в Tel Aviv Medical Clinic для этого используется новейшее оборудование. Уточнение диагноза, выявление метастаз и осложнений, оценки состояния пораженных структур и окружающих тканей, требуют применения таких способов исследования:
- Экскреторная урография.
- Рентгенология.
- УЗИ.
- Генетическое тестирование.
- Компьютерная томография.
- МРТ.
- Сцинтиграфия.
- Анализы крови и мочи.
- Ангиография почек.
- Пункционная биопсия.
Лечение нефробластомы в Tel Aviv Medical Clinic
Опытные врачи высшей категории составят индивидуальный план лечения, что повышает эффективность и минимизирует риск осложнений. С учетом прогностических факторов, стадии патологии и степени злокачественности опухоли, подбирается рациональный метод лечения. Чаще всего это хирургическое вмешательство в комбинации с химиотерапией или лучевой терапией.

























