
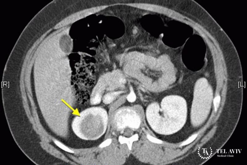
Нефробласто́ма (опухоль Вильмса) – злокачественное образование, которое состоит из эмбриональных клеток. Данное заболевание встречается в 30% случаев у людей в возрасте до 20 лет. Патология зачастую выявляется, когда метастазы уже распространились по организму и вызвали патологические изменения. Поэтому так важно вовремя диагностировать заболевание и приступать к оперативному лечению. К сожалению, симптоматика заболевания не ярко выражена.
Когда необходимо обратиться к врачу
Поводом для беспокойства выступают следующие факторы:
- наличие уплотнения во время ощупывания;
- крови в моче;
- боль в животе;
- повышенная утомляемость;
- расстройство органов ЖКТ;
- повышение температуры тела;
- тошнота и общее недомогание.
Квалифицированный специалист проведет необходимую диагностику, и на основании полученных данных, составит индивидуальный план терапии.
Как проводится диагностика заболевания
Чтобы поставить верный диагноз, врач использует следующие методы диагностики:
- осмотр;
- УЗИ внутренних органов;
- Рентгенография;
- Ангиография;
- РИД;
- Эхокардиография;
- Реносцинография.
Особенности лечения патологии в клинике Tel Aviv Medical Clinic
В нашей клинике работают настоящие профессионалы, которые обладают всем необходимыми навыками и знаниями. Наши сотрудники ежегодно проходят специальное обучение. Палаты отделения оснащены всем необходимым для скорейшего выздоровления пациентов. Мы установили тарифы на уровне государственных. Таким образом, вы получаете высококлассные услуги по приемлемой цене. В случае необходимости наш медперсонал поможет связаться с благотворительными фондами для сбора средств на лечение. В центре поддержки развития можно получить помощь психолога, а также пройти курс реабилитации.
Наиболее часто используются следующие варианты терапии:
- Хирургическое вмешательство;
- Химиотерапия;
- Лучевое облучение;
- Таргетное лечение.
Последний способ является революционным и помогает без проведения операции избавиться от патологии. Специалист подбирает индивидуальное лекарство, которое вызывает саморазрушение образования. Однако, такая методика используется не всегда и является дорогостоящей. Таким образом, врачам нашей клиники удается помочь пациенту вернутся к радостям жизни даже в самых трудных ситуациях.

























