
Невриномы относятся к классу доброкачественных новообразований периферических нервов. В основе опухоли находятся шванновские клетки. Это обуславливает второе название патологии – шваннома. Для образования характерен медленный темп роста. Болезнь чаще поражает женский организм, независимо от возрастной категории пациентов. Пятая часть неврином формируется внутри черепа, поражая корешки спинномозгового нерва, периферические нервы.
Шванномы обладают способностью к созданию миелиновой нервной оболочки. Это плотное новообразование, имеет неправильную, овальную форму, неровную поверхность с буграми. Опухоль покрывает соединительнотканная капсула.
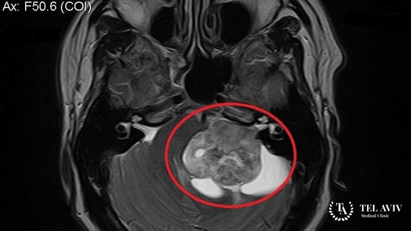
Распространенные типы неврином периферических нервов
Невриномы слуховых нервов признаны наиболее распространенными. Локализация патологий – мозжечковый, мостовой угол. Быстрые темпы сдавливания окружающих участков вызывают специфичную симптоматику:
- Возникновение звона, шума в ухе пораженной стороны. Причина: улитковый участок нерва поражается опухолью;
- Постепенное снижение качества слуха;
- По достижению двухсантиметрового размера патология вызывает боли, похожие на зубные. Происходит атрофия жевательных мышц;
- Поражение отводящего, лицевого нерва при образовании в пять сантиметров стимулирует потерю вкусовых ощущений, нарушение функционирования слюнных желез;
- Пораженная сторона лица теряет чувствительность, возникают проблемы со зрением;
- Развитие вестибулярных нарушений характерно для невриномы от пяти до семи сантиметров. Это провоцирует обморочные состояния, головокружение.
Среди других неврином периферических нервов выделяют:
- Невриному лицевых нервов. Вызывает потерю вкусовых ощущений, асимметрию лица, онемения. У пациента нарушается слюноотделение. Прогрессирующая опухоль стимулирует развитие костных разрушений;
- Шванному стоп. Фиброзная ткань разрастается на области подошвенного периферического нерва. Опухоль доброкачественная. Вызывает боли в стопах, физическая нагрузка, неудобная обувь вызывает обострение болевого синдрома;
- Невриному в конском хвосте. Характерен односторонний, двухсторонний корешковый синдром.
Лечение невриномы периферического нерва в Tel Aviv Medical Clinic
Крупнейший медицинский центр Тель-Авива полностью оснащен ультрасовременным, дорогостоящим оборудованием, доступным лишь в нескольких клиниках мира. Это позволяет опытным врачам высшей категории применять инновационные подходы при лечении невриномы периферических нервов.

























