
Невринома позвоночника локализуется в корешках спинномозговых нервов и относится к виду доброкачественных опухолей. Но недооценивать опасность новообразования нельзя, поскольку невринома, хоть и прогрессирует медленно, способна переродиться в злокачественную опухоль. Кроме того, невринома, если ее не удалить, вырастает до внушительных размеров и приводит к деформации позвоночника и центральной нервной системы, к костным изменениям. На долю спинальных невром приходится четверть всех новообразований позвоночника, причем женщины страдают заболеванием гораздо чаще мужчин. Произрастать невринома может в любом отделе позвоночника, распространяться в межпозвоночное пространство. Причины, по которым возникает невринома, достоверно неизвестны, но предположительно называют влияние наследственного фактора.
Какими симптомами проявляется невринома?
Новообразование не отличается интенсивным ростом и агрессивностью и протекает без явных признаков на ранней стадии. С прогрессированием патологии происходит сдавливание тех участков позвоночника, где находится опухоль, характеризуемая определенной симптоматикой:
- В месте локализации появляется боль, иррадиирующая в плечо, шею или спину.
- Паралич отдельных частей тела.
- Двигательные расстройства.
- Фрагментарные неврологические нарушения.
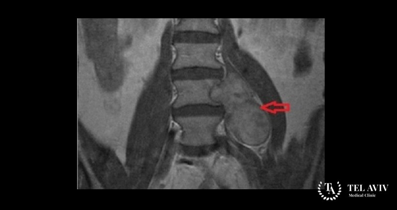
Диагностика и лечение спинальной невриномы в Tel Aviv Medical Clinic
На первых этапах роста обнаружить заболевание проблематично из-за отсутствия симптомов. Нередко выявляется опухоль случайно при рентгенографии позвоночника, проводимой по совсем другим причинам. При подозрении на новообразование в израильской клинике Tel Aviv Medical Clinic проводится детальная диагностика, чтобы дифференцировать заболевание. Такие современные методики обследования как: КТ, МРТ, сцинтиграфия, миелография, позволяют выявить наличие повреждения позвоночника, изменение его структур, определить характер, форму и стадию развития опухоли.
При выборе терапии высококвалифицированные специалисты нашей клиники, располагая передовым оборудованием и новейшими методами, учитывают ряд факторов, в том числе индивидуальные показатели. Не всегда при невриноме позвоночника разрешено хирургическое вмешательство. Поэтому в Tel Aviv Medical Clinic используются инновационные технологии, например бесконтактная радиоволновая методика, ионизирующее излучение которой целенаправленно уничтожает пораженные клетки, не принося вреда организму.

























