
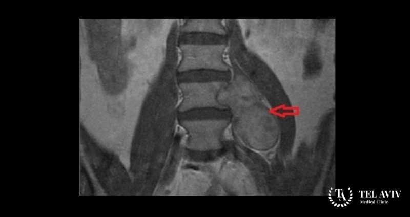
Невринома – является доброкачественным образованием, которое формируется из оболочек периферических нервов. Зачастую патологию врач диагностирует у взрослых в возрасте 40-50 лет. Образование не прорастает в соседние структуры и не дает метастазы. Человек может даже не подозревать о наличии заболевания, так как симптоматика выражена крайне слабо. По мере роста опухоль начинает сдавливать соседние ткани и смещает их в сторону. Болезнь прогрессирует и больной может умереть. Поэтому ни в коем случае нельзя игнорировать проявление опасных симптомов.
Как проявляется заболевание
Человек может заметить следующие опасные симптомы:
- Головная боль;
- Головокружение;
- Потеря сознания;
- Нарушение памяти и сна;
- Снижение зрения и слуха;
- Повышенная утомляемость;
- Непроизвольное движение глаз;
- Нарушение координации движения и другие.
Квалифицированный специалист проведет необходимое исследование и подберет правильную программу терапии.
Диагностика и лечение патологии в клинике Tel Aviv Medical Clinic
В нашей израильской клинике работают настоящие профессионалы своего дела, которые обладают огромным практическим опытом и знаниями в области лечения различных патологий головного мозга. Мы используем новейшее оборудование и инновационные технологии терапии. Наши врачи ежегодно проходят специальное обучение в ведущих европейских и американских заведениях. Наши сотрудники обеспечивают нашим пациентам круглосуточную заботу и контроль. Палаты отделения оснащены всем необходимым.
Мы установили тарифы на уровне государственных. Таким образом, вы получаете широкий спектр услуг по приемлемой стоимости. В центре поддержки родителей и детей можно получить психологическую помощь и пройти курс реабилитации. В случае необходимости наши сотрудники помогут связаться с благотворительными фондами для сбора средств на лечение.
Перед проведением хирургического вмешательства необходимо пройти комплексное исследование организма, которое включает в себя:
- Анализ крови;
- МРТ или КТ;
- Рентген;
- Ангиография;
- Биопсия.
На основе полученных данных врач подбирает индивидуальную схему терапии с учетом типа и характера патологии, а также наличия сопутствующих заболеваний. Наиболее эффективным методом избавления от опухоли является ее удаление. Наши хирурги используют малотравматичный способ избавления от патологии.

























