callback
Записаться на консультацию
Наши координаторы помогут вам записаться на прием и ответят на все ваши вопросы.

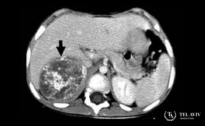
Нейробластома надпочечника

Нейробластомы – раковые новообразования, поражающие симпатическую нервную систему. В большинстве случаев болезнь диагностируют у пациентов детского возраста. В девяноста восьми процентах случаев патология является спонтанной, наследственная предрасположенность прослеживается в двух процентах развития болезни. Для нейробластомы характерно метастазирование в область лимфатических узлов, печени, костного мозга. Присутствует вероятность поражения мозга, кожных покровов.

Метастазы, повреждающие костный мозг, стимулируют развитие тромбоцитопении, анемии. Характерная дислокация патологии – мозговое вещество надпочечника.

Признаки развития нейробластомы надпочечника

На начальном этапе прогрессирования заболевание не вызывает характерных симптомов. С развитие нейробластомы появляются следующие признаки:

  • Периодическое повышение температуры;
  • Развитие анемии, слабости в нижних конечностях, паралича;
  • Повышение давления:
  • Плохой аппетит, диарея, появление кровоподтеков на кожных покровах;
  • Ощущение хронической усталости;
  • Осложненное дыхание;
  • Боль в костных тканях;
  • Появление характерных подкожных бугорков в области груди, шеи, живота, на спине;
  • Распространение патологического процесса в костные ткани приводит к болям в костях;
  • Сложности при глотании;
  • Появление темных кругов около глаз;
  • Увеличение живота, отечность.

Диагностика нейробластомы надпочечника

При появлении характерных симптомов необходимо обратиться к специалисту за консультацией. Врач проведет подробный опрос, осмотр. На базе собранного анамнеза будет разработана диагностическая программа. Информативные методы при подозрении на нейробластому надпочечника:

  • Магнитно-резонансная томография;
  • Компьютерная томография;
  • Ультразвуковая диагностика;
  • Сцинтиграфия костной ткани;
  • Забор мочи для проведения исследования;
  • Забор крови на биохимический анализ, общее клиническое обследование;
  • Сцинтиграфия с МИБГ;
  • Забор фрагмента биологического материала в ходе биопсии для проведения гистологического, морфологического исследования.

Лечение нейробластомы надпочечника в Tel Aviv Medical Clinic

Ведущий медицинский центр в Израиле специализируется на лечении нейробластомы в области надпочечника. Урологическое отделение при клинике полностью оборудовано инновационной, высокотехнологической аппаратурой. Опытные врачи высшей категории применяет уникальные методы при лечении надпочечников. Прогрессивные подходы к терапии позволяют достигнуть колоссальных успехов в борьбе с онкологическими болезнями.

×
Быстрое обслуживание
Чтобы сократить время ожидания для записи на проверку или консультацию, пожалуйста, подробно опишите ваш запрос, загрузите направления и/или файлы.

Тель Авив Медикал Клиник

Вайцман 14, Тель-авив, Израиль

972-7337-46844

972-5233-73108

support@tamc.co.il

Найти врача

Позвоните нам или заполните форму ниже, и мы свяжемся с вами. Мы стараемся ответить на все запросы в течение 24 часов в рабочие дни.
Перейти к содержимому