
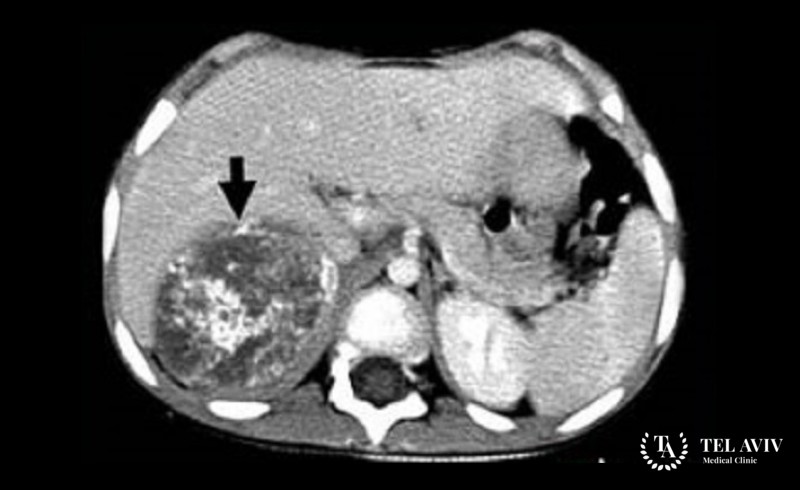
Нейробластома надпочечника – злокачественное образование, которое развивается в надпочечнике. Специалисты считают, что патология является наследственной и отличается своим агрессивным развитием. Опухоль быстро растет, проникает во внутренние структуры и дает метастазы по всему телу. Зачастую врач может обнаружить заболевание у молодых людей до 30 лет. К сожалению, на ранней стадии патологию обнаружить проблематично, так как симптоматика выражена слабо. Опухоль вызывает чрезмерную выработку катехоламина, что может привести к тяжелой гипертензии. Метастазы попадают в костный мозг, печень, кости, лимфатические узлы и вызывают необратимые изменения во всем организме. Поэтому, чем раньше обнаружено заболевание, тем лучше прогноз для пациента.
Когда необходимо обратиться к врачу
Поводом для беспокойства служат следующие признаки развития патологии:
- Боль в животе;
- Повышение АД;
- Общее недомогание;
- Вздутие живота;
- Увеличение лимфоузлов;
- Снижение массы тела;
- Нарушение работы ЖКТ;
- Головная боль;
- Нарушение сердечного ритма;
- Кровохарканье;
- Чрезмерная пигментация кожи;
- Неврологические расстройства.
Данные признаки не являются типичными для заболевания. Чтобы поставить верный диагноз, врачу необходимо провести ряд исследований.
Как проводится диагностика заболевания
Для того, чтобы поставить верный диагноз, врач использует следующие методы диагностики:
- Осмотр;
- Анализ крови и мочи;
- Гормональные исследования;
- МРТ или КТ;
- УЗИ брюшной полости;
- Сцинтиграфия;
- Пункция костного мозга;
- Биопсия;
- Генетические тесты.
На основе полученных данных специалист составляет индивидуальную схему терапии с учетом общего состояния пациента и характера патологии.
Особенности лечения заболевания в ведущей израильской клинике Tel Aviv Medical Clinic
Врач подбирает лечение патологии в зависимости от стадии развития. Если опухоль находится на ранних этапах, врач проводит хирургическое удаление. В противном случае, терапия требует использованию комплексных методов – химиотерапии, лучевого облучения и иссечения проблемного участка. Стоит отметить, что хирурги отделения используют малотравматичные методы оперативного вмешательства. В клинике установлены тарифы на уровне государственных. Таким образом, вы получаете качественные услуги, но платите меньше.

























