
Протезы – искусственные приспособления, заменяющие определенные органы, выполняющих их функции. Расположенный в человеческом теле протез относится к категории эндопротезов.
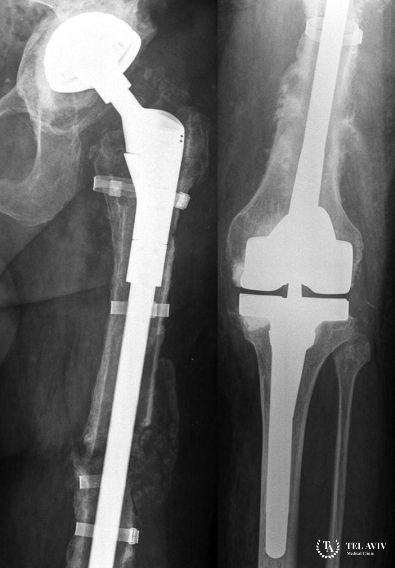
Эндопротезированием суставов называют замену части суставной ткани. В ходе операции имплантируется элементы идентичной анатомической формы. После проведения вмешательства восстанавливается двигательная функция конечности. Современные специалисты проводят комплексные операции по замене локтевых, тазобедренных, коленных, плечевых суставов. При необходимости заменяется часть суставной ткани в пальце. Процедура относится к мелким хирургическим вмешательствам. Она позволяет пациенту избавиться от болей, вернуться к прежней жизни.
Для изготовления эндопротеза используют высокопрочные составы, которые быстро приживаются после установки. Средний эксплуатационный период имланта – от пятнадцати до двадцати лет. После износа необходимо провести операцию по замене протеза. Особенности эндопротезов:
- Конструкции выполнены из нержавеющего стального сплава, металла;
- Специальный цемент плотно фиксирует имплант на костной ткани;
- В составе цемента присутствует хром, кобальт или акриловая смола;
- В эндопротезе присутствует скользящий компонент, если он устанавливается в бедренную или плечевую кость. Он производится из титановых сплавов;
- При формировании поверхности скольжения используют сверхпрочные полиэтилены. Иногда их заменяют алюмооксидной керамикой.
Когда рекомендовано эндопротезирование
Изготовление протезов базируется на сложнейших, технологических процессах, которые подлежат многоуровневому контролю,сертификации. Эндопротезирование помогает восстановить подвижность после травмы суставных аппаратов, болезней суставов, полностью или частично обездвиживающих человека. Процедура рекомендует больным, столкнувшимся с серьезными патологиями:
- Болезнью Бехетова;
- Переломами шейки бедра;
- Дегенеративными, дистрофическими болезнями;
- Артритами, остеопорозами;
- Внутрисуставными переломами;
- Дисплазией суставных тканей;
- Асептическим некрозом.
Эндопротезирование в Tel Aviv Medical Clinic
В ведущей израильской клинике Tel Aviv Medical Clinic работают высококвалифицированные специалисты в области протезирования, ортопедии, суставных патологий. Они используют высокотехнологическую аппаратуру, лучшие материалы, для создания имплантов. Благодаря прогрессивным методикам, огромному опыту, врачи полностью восстанавливают подвижность пациентов в ходе имплантации протезов, эндопротезов.

























