
Остеохондрома – доброкачественная опухоль, в основе которой лежат хрящевые клетки. Выглядит патологическое образование как бесцветная масса плотной консистенции, которую можно нащупать при пальпации. Локализуется выступ, заполненный костномозговым содержимым обычно в концевом отделе длинной трубчатой или плоской кости, в области позвоночника или таза. Может формироваться как в одиночном, так и множественном варианте. При отсутствии лечения остеохондрома способна прогрессировать и перерождаться в злокачественную форму. Опухоль соединяется с костью широким основанием, а достигая крупных размеров, приводит кость к деформации. Встречается чаще у подростков и молодых людей, независимо от половой принадлежности. Точные причины возникновения опухоли пока не выяснены, но возможными факторами называют:
- Аномальное развитие костной ткани;
- Облучение;
- Генетическую предрасположенность;
- Травмирование.
В каких случаях обращаются к врачу?
При всей доброкачественности и неплохом прогнозе, остеохондромы нуждаются в серьезном наблюдении и лечении, так как могут вызывать нарушения в работе органов. Патология может выявляться случайно, поскольку характеризуется бессимптомным течением, пока не достигает значительных размеров, что влияет на общее состояние и появление таких признаков:
- Наличие неподвижной плотной шишки в области кости, прощупываемой пальцами.
- Боль в сухожилиях или мышцах.
- Частые переломы.
- Деформация скелета.
- Затрудненные движения конечностей.
- Слабость.
- Головная боль.
Способы диагностирования остеохондромы
Для постановки правильного диагноза, от которого будет зависеть выбор лечения, проводится тщательный анализ полученной информации после проведения лабораторных и инструментальных исследований. Необходимо не просто установить наличие хрящевой неоплазии, но и определить ее структуру, размеры, стадию развития, провести дифференциальную диагностику. В клинике Tel Aviv Medical Clinic для получения максимально точного результата применяется передовое оборудование, позволяющее использовать такие методы диагностики:
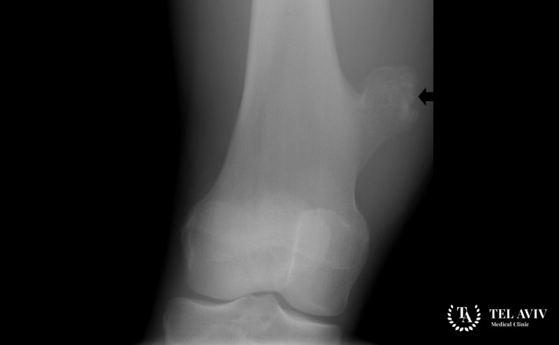
- Рентгенография.
- УЗИ.
- МРТ.
- КТ.
- Биопсия.
Как в Tel Aviv Medical Clinic проводится лечение
Лечением пациентов с онкологическими патологиями занимаются опытные специалисты высочайшей категории, в арсенале которых имеется практическое знание новейших, эффективных методик. Оптимальной терапевтической тактикой при обнаружении остеохондромы остается хирургическое удаление опухоли.

























