
Остеохондрома – это самая часто встречаемая доброкачественная опухоль кости, представляющая собой бесцветную массу, которая зачастую образуется на эпифизе длинной трубчатой кости, но также встречается в плоских костях.
Причины возникновения патологии до сих пор не установлены. Однако такие опухоли нередко встречаются у людей, которые в детском возрасте получили незначительное радиационное воздействие, например, при лучевом лечении. В таком случае неоплазии чаще всего являются множественными и возникают в длинных трубчатых костях, позвоночнике и костях малого таза.
Симптоматика
Данное заболевание не имеет ярко выраженных симптомов и в подавляющем большинстве случаев протекает незаметно для больного. Нередко заболевание обнаруживается случайно, когда человек приходит к врачу на прием с совершенно другой проблемой. К симптомам, на которые следует обратить внимание, следует отнести внезапно появившуюся шишку или шишки на кости.
Болевые ощущения при остеохондроме человек испытывает лишь в том случае, если опухоль больших размеров и сдавливает мышцы и сухожилия. В таком случае возникает выраженный болевой синдром или конечность престает нормально работать.
Патология часто обнаруживается, когда больные обращаются за помощью к врачу из-за перелома, тромбоза подколенной вены или формирования ложной аневризмы подколенной артерии.
Диагностика заболевания
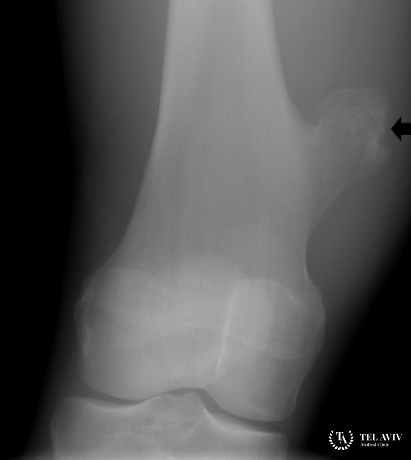
По причине бессимптомного течения заболевания патологию достаточно сложно обнаружить. Как правило, для ее обнаружения используются следующие диагностические исследования:
- Рентген. Если во время пальпации врач обнаруживает новообразование на кости пациента, то он отправляет его на рентген. На рентгеновских снимках при наличии данного недуга может обнаруживаться нарушение контуров кости.
- Компьютерная томография. В тяжелых диагностических случаях одних рентгенологических данных бывает недостаточно. Тогда пациента дополнительно отправляют на компьютерную или магниторезонансную томографию.
Лечение
Медикаментозное лечение и другие консервативные методы в терапии данного заболевания редко приносят положительный результат. Самым эффективным лечением было и остается удаление опухоли в пределах здоровых тканей хирургическим путем. Операция обязательно назначается при:
- Деформации скелета;
- Нарушении функций конечности (больной не может ей пошевелить, она периодически перестает слушаться или вовсе не слушается);
- Быстром увеличении опухоли в размерах.
Лечение остеохондромы в израильской клинике Tel Aviv Medical Clinic
В современном медицинском центре Tel Aviv Medical Clinic находится одно из лучших отделений ортопедической онкологии в Израиле. У нас работают лучшие врачи, которые за свою многолетнюю практику провели множество успешных операций. В том числе у нас работают первоклассные специалисты, занимающиеся лечением остеохондромы с применением самых современных методик.

























