
Остеома – это часто встречающийся вид доброкачественной опухоли, который образовывается на костях. Заболевание характеризуется медленным течением и отсутствием склонности к малигнизации (озлокачествлению). Данный вид неоплазии не поражает соседние ткани, не метастазирует и, как правило, хорошо поддается лечению. В основном встречается у людей в возрасте от 5 до 20 лет.
Считается, что возникновению патологии способствует перенесенный воспалительный процесс или травма. Причинами возникновения заболевания могут стать:
- Подагра, сифилис, ревматизм;
- Переохлаждение;
- Генетическая предрасположенность;
- Травмы различного характера;
- Воспалительные процессы и перенесенные инфекционные заболевания.
Симптомы
Клинические проявления заболевания напрямую зависят от места его локализации. Однако есть ряд общих симптомов, по которым можно поставить диагноз остеома:
- Образование неподвижное и плотное, имеет четкие границы;
- Не вызывает боли при пальпации.
Длительное время патология может протекать бессимптомно. Если опухоль вырастает, становится слишком большой и начинает давить на соседние кости и ткани, то появляются ярко выраженные симптомы:
- Хромота при локализации в нижних конечностях;
- Проблемы с дыханием;
- Ухудшение зрения при локализации опухоли в носовых придаточных пазухах;
- Кровотечения из носа;
- Болевые ощущения, которые усиливаются по мере роста опухоли.
Диагностика и лечение
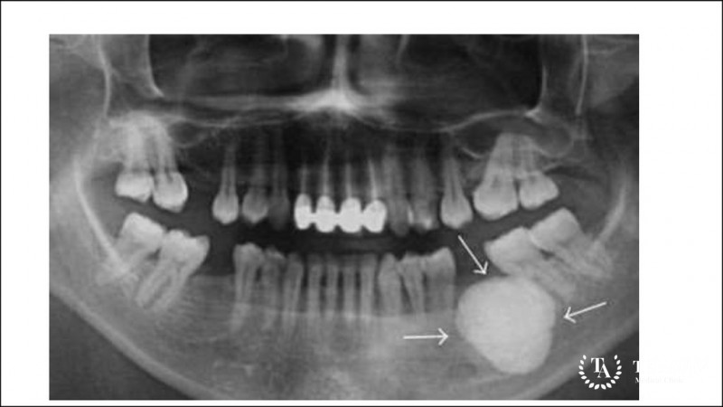
Диагноз остеома ставится на основании осмотра и опроса больного. Однако для подтверждения диагноза может быть назначена рентгенография. Поскольку опухоль имеет небольшие размеры, данный диагностический метод не всегда является эффективным. С учетом особенностей расположения неоплазии, наиболее информативным методом диагностики является компьютерная томография.
Лечение остеом напрямую зависит от локализации новообразования. Если заболевание протекает без симптомов, то зачастую назначается динамическое наблюдение. В случае формирования выраженного косметического дефекта или сдавливания опухолью соседних костей и тканей, назначается хирургическое вмешательство.
Операция по удалению остеом в клинике Tel Aviv Medical Clinic
Современный израильский медицинский центр Tel Aviv Medical Clinic проводит операции по удалению остеом. Хирургическое вмешательство назначается на основании диагностических исследований и симптоматики. В клинике работают высококвалифицированные и опытные врачи, которые успешно проводят сложнейшие операции по удалению опухолей, применяя современные методики лечения.

























