
Остеоскаркома – распространенное злокачественное образование, которое состоит из недифференцированной соединительной ткани. Опухоль поражает зачастую верхние и нижние конечности. Заболевание отличается своим агрессивным развитием, метастазированием в соседние органы и прорастанием в структуры. Наиболее часто врачи могут обнаружить патологию у подростков или у людей в возрасте 20-40 лет. При этом мужской пол страдает чаще. К сожалению, обнаружить заболевания на начальной стадии затруднительно. Пациенты воспринимают наличие тупой боли в суставах как воспалительный процесс или последствия после травмы. Однако, если вовремя обратиться к врачу, то прогноз для пациента благоприятный. Заболевание хорошо поддается лечению.
Как проявляется заболевание
Если вы заметили проявление следующих симптомов, следует незамедлительно обратиться к врачу:
- Тупые боли в суставах;
- Наличие уплотнения при ощупывании;
- Повышение температуры тела;
- Общее недомогание;
- Малоподвижность сустава;
- Деформация кости;
- Возникновение хромоты.
Опытный специалист проведет необходимое исследование и установит верный диагноз.
Как обнаружить заболевание
Чтобы поставить верный диагноз, врачи используют следующие методы исследования:
- Осмотр;
- Анализ крови;
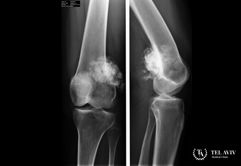
- Рентгенография;
- КТ или МРТ;
- ПЭТ;
- Биопсия.
На основе полученных данных врач подбирает схему терапии с учетом особенностей развития заболевания и общего состояния пациента.
Как проводится лечение патологии в клинике Tel Aviv Medical Clinic
Наша клиника является лучшей в Израиле. Наши врачи обладают огромным практическим опытом и знаниями для лечения опухолей костей. Наши специалисты ежегодно повышают свой уровень квалификации в европейских и американских лечебных заведениях. Наши хирурги используют малоинвазивные методики проведения операции, которые помогают избавиться от опухоли и сохранить при этом здоровую ткань. После процедуры врач советует пройти курс химиотерапии для уничтожения оставшихся патологических клеток. Использование комплексного подхода в лечении помогает быстро и эффективно избавиться от заболевания.
Стоит отметить, что в клинике установлены тарифы на уровне государственных. Таким образом, вы получаете высококлассные услуги по сниженной стоимости. В случае необходимости наши сотрудники помогут связаться с благотворительными фондами.

























