
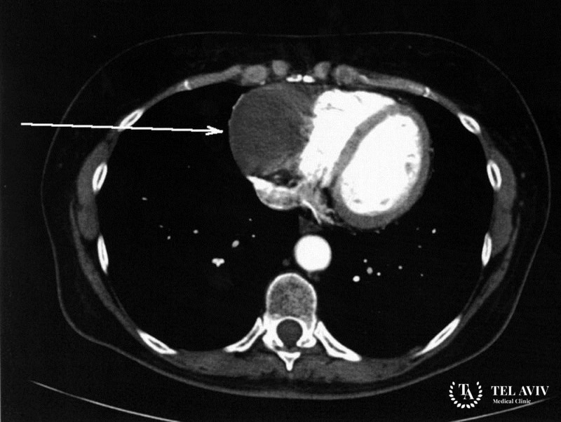
Параганглиома сердца – представляет собой новообразование симпатической и парасимпатической нервной системы. Заболевание встречается крайне редко и развивается бессимптомно. Зачастую врач может обнаружить патологию в предсердии или межсердечной перегородке. Симптоматика заболевания похожа на проявление других недугов. С этим связано позднее обращение пациентов за квалифицированной помощью. Опытный врач может обнаружить случайно. во время проведения диагностики по другому вопросу.
Как проявляется заболевание
Если вы заметили проявление следующих симптомов, необходимо записаться на прием к врачу:
- Боль в груди;
- Одышка;
- Потливость;
- Головная боль;
- Общее недомогание;
- Нарушение ритма сердца;
- Отек;
- Повышение давления и другие.
Данная симптоматика не является типичной для заболевания. Только опытный врач сможет поставить верный диагноз на основе проведённого исследования.
Как проводится диагностика заболевания
Стоит помнить, что вовремя обнаруженную патологию вылечить проще и быстрее. Однако, благодаря индивидуальному подходу к каждому пациенту. Удается полностью избавить человека от заболевания. Чтобы поставить верный диагноз, специалист использует следующие методы исследования:
- Анализ крови;
- Биопсия;
- ЭКГ;
- Эхо-Кг;
- КТ или МРТ;
- Рентгенография;
- Лимфография и другие.
На основе полученных данных врач подберет индивидуальную схему терапии с учетом типа и характера патологии, а также наличия сопутствующих заболеваний.
Особенности лечения заболевания в клинике Tel Aviv Medical Clinic
Наша клиника является лучшей в Израиле. К нам обращаются пациенты со всего мира. Мы используем уникальные методы терапии и новейшее оборудование. Наши сотрудники ежегодно повышают свой уровень квалификации в ведущих лечебных заведениях Европы и Америки. Палаты отделения оснащены всем необходимым для комфортного пребывания наших пациентов. Стоит отметить, что в клинике установлены тарифы на уровне государственных. Таким образом, вы получаете высококлассные услуги по сниженной цене.
Наиболее эффективным методом избавления от опухоли является проведение хирургического вмешательства. Наши хирурги используют малоинвазивные методы проведения операции. После проведения вмешательства специалист некоторое время наблюдает за состоянием пациента.

























