
Первичная лимфома центральной нервной системы – является наиболее агрессивным заболеванием, которое поражает все структуры головного мозга и органы зрения. Патология встречается довольно редко, всего у 1% пациентов. Через некоторое время самочувствие человека резко ухудшается. Вовремя обнаруженное заболевание легче поддается лечению и прогноз благоприятный для пациента. Поэтому при появлении первых подозрительных признаков патологии следует незамедлительно обратиться к врачу.
Как проявляется патология
Если вы заметили следующие подозрительные признаки, следует незамедлительно обратиться к опытному специалисту:
- Головная боль;
- Нарушение зрения и слуха;
- Ухудшение памяти;
- Повышение температуры тела;
- Судороги;
- Чувство онемения в конечностях;
- Повышенная утомляемость;
- Развитие слабоумия;
- Повышение АД;
- Головокружение;
- Неврологические расстройства и другие.
Данные симптомы не являются типичными для заболевания. Только квалифицированный врач может поставить правильный диагноз, после проведения диагностического обследования организма.
Как проводится диагностика патологии
Для постановки верного диагноза врач использует следующие методы диагностики:
- Осмотр и сбор анамнеза;
- Анализ крови и мочи;
- УЗИ;
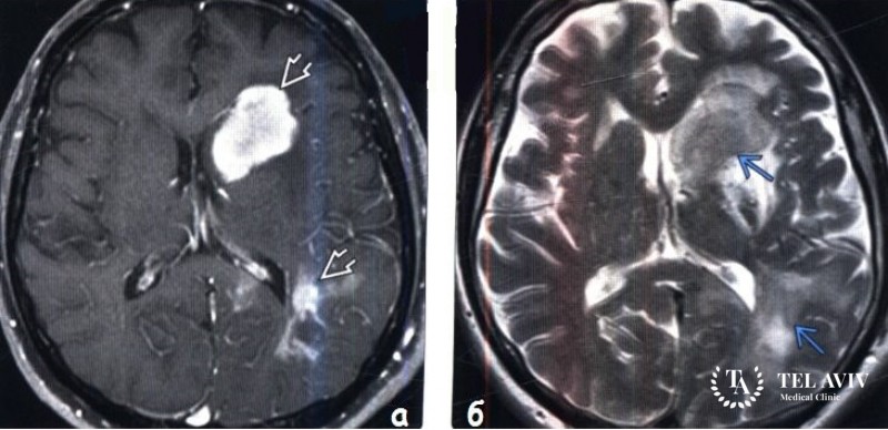
- МРТ или КТ;
- Биопсия;
- ЭКГ и ЭХоКГ;
- ПЭТ;
- Рентгенография и другие.
На основе полученных данных врач подбирает индивидуальную тактику терапии с учетом общего состояния пациента. а также типа и характера патологии.
Особенности лечения заболевания в клинике Tel Aviv Medical Clinic
В нашей клинике работает команда профессионалов, которая более 10 лет занимается выявлением и лечением патологии. Мы используем новейшее оборудование и инновационные технологии терапии. Наш медперсонал ежегодно проходит специальное обучение. Благодаря индивидуальному подходу к каждому пациенту, нашим врачам удается в 90% случаев избавить больного от заболевания.
В клинике установлены тарифы на уровне государственных. Таким образом, вы получаете широкий спектр высококлассных услуг по приемлемой стоимости. В случае необходимости наши сотрудники помогут собрать средства на лечение. В центре поддержки родителей и детей можно получить психологическую помощь, а также пройти курс реабилитации.

























