
Саркома Юинга – злокачественное образование, которое поражает костную ткань. Опухоль отличается своим агрессивным развитием, прорастанием во внутренние структуры и метастазированием во внутренние органы. Зачастую врач может обнаружить патологию в трубчатых костях. Без оказания помощи самочувствие человека быстро ухудшается и развиваются нежелательные осложнения. Наиболее часто патология выявляется у мужчин. Основной причиной возникновения заболевания является повреждение, ушиб, перелом, наследственные аномалии развития костной ткани.
Когда необходимо обратиться к врачу
Если вы заметили возникновение следующих признаков, следует незамедлительно обратиться к врачу:
- Боль в костях;
- Наличие уплотнения во время ощупывания;
- Отек конечности;
- Скованность движений;
- Общее недомогание;
- Повышение температуры тела;
- Частые переломы кости.
Данные признаки не являются типичными для заболевания. Только опытный врач может составить верный диагноз и подобрать правильное лечение.
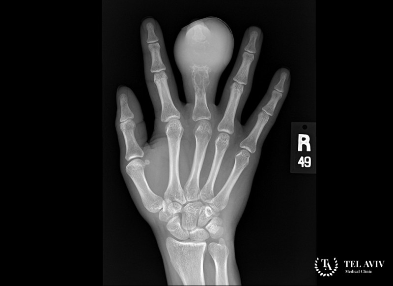
Как выявить заболевание
К сожалению, на начальной стадии выявить заболевание достаточно трудно. Чтобы поставить верный диагноз, врач проводит следующие исследования:
- Осмотр;
- Анализ крови;
- Рентген;
- МРТ или КТ;
- ПЭТ;
- Сцинтиграфия;
- Биопсия.
На основе полученных данных врач составляет индивидуальный план терапии с учётом особенностей развития заболевания и общего состояния пациента.
Как проводится лечение патологии в клинике Tel Aviv Medical Clinic
В нашей клинике работает группа профессионалов, которая обладает необходимыми знаниями и умениями. Мы используем новейшее оборудование и уникальные методики терапии. Наши сотрудники ежегодно проходят специальное обучение. Палаты отделения оснащены всем необходимым для комфортного пребывания больных. В клинике установлены цены как в государственной больнице. Таким образом, вы получаете широкий спектр услуг по сниженной цене.
Наиболее часто используются следующие методы терапии:
- Хирургическое вмешательство;
- Химиотерапия;
- Лучевое облучение;
- Таргетная терапия.
Последний метод является революционным и помогает без проведения операции избавиться от опухоли. Специалист подбирает индивидуально препарат, который воздействует на конкретное образование. Такое лечение недешевое и используется не всегда. В большинстве случаев используется операция с последующим прохождением курса химиотерапии.

























