
Первичные герминогенные образования в средостении – гетерогенные патологии. В основе опухолей – зародышевые клетки, принимающие активное участие в процессе формирования половой железы. Герминогенные новообразования относятся к классу редких заболеваний. В большинстве случаев патология поражает гонаду. Семиномы могут образоваться в забрюшинном пространстве, пресакральной зоне, в средостении.
Симптоматика семиномы средостения
Симптоматика патологии детализируется согласно мету дислокации злокачественного образования. С развитием болезни признаки становятся выраженными, вызывают дискомфорт, болевой синдром. Пациенты отмечают:
- Появление повышенной потливости, преимущественно в ночное время суток;
- Болевые ощущения в грудине;
- Отечность на лице, шее, верхнем плечевом поясе;
- Венозные расширения;
- Появление набухшей вены в области шеи;
- Повышенную одышку при физических нагрузках;
- Ощущение слабости, утомленности;
- Субфебрильную температуру тела;
- Появление осиплости в голосе;
- Резкое снижение массы тела.
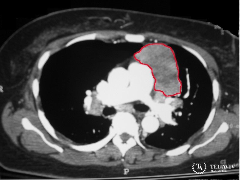
Семиномы в средостении развиваются постепенно. На начальном этапе новообразование не имеет характерных симптомов. Обнаружение патологии часто происходит при профилактических рентгеновских осмотрах грудины. Прогрессируя, заболевание вызывает стойкие боли. Это обусловлено сдавливанием, прорастанием патологического очага в зону стволов нервов, нервных сплетений.
Как выявить семиному – методы диагностики
Первичная диагностика проводится в ходе осмотра, опроса пациента. Специалист формирует клиническую картину болезни, разрабатывает программу обследования. Среди распространенных методов диагностики семиномы:
- Проведение аспирационной, тонкоигольной биопсии с целью получения фрагмента увеличенного в размере лимфатического узла в надключичной, шейной зоне;
- Рентгенография средостения – оптимальный, информативный метод диагностирования семиномы;
- Проведение цитологического исследования в лабораторных условиях;
- Забор биологического материала с помощью трепано-биопсии;
- Гистологические исследования.
Лечение семиномы средостения в Tel Aviv Medical Clinic
Ведущий медицинский центр в Тель-Авиве проводит высококлассную диагностику опухолей средостения. Опытные специалисты высшей категории применяют прогрессивные методы диагностики, используя высококлассное, дорогостоящее оборудование. Тысячи пациентов со всего мира излечились от патологий средостения в клинике.

























