
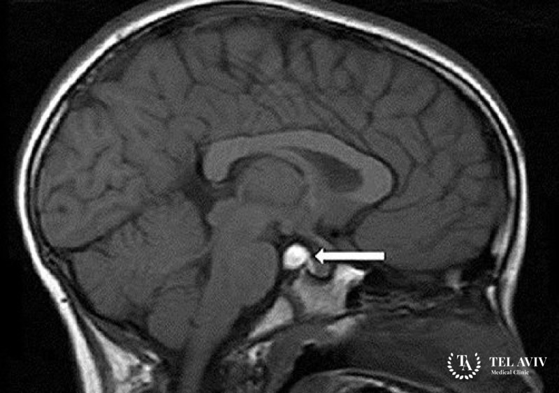
Шишковидные кисты возникает в железах головного мозга с аналогичным названием. Они представляют собой кистозные, очерченные образования. Локализация – пинеальное тело, эпифиз. Располагаются во внутренней части. Внутри кист находится жидкость. Этот тип образований прогрессирует медленно, увеличение в размерах происходит постепенно. Новообразование часто является врожденным. Иногда его вызывает закупорка протока выхода мелатонина, травма, аутоиммунная болезнь, образование эхинококковой капсулы, гормональный сбой.
Симптоматика шишковидных кист
Начальная стадия развития новообразования незаметна для человека. Первые признаки проявляются, когда киста становится достаточно крупной. Пациенты жалуются на следующую симптоматику:
- Головную боль в непредсказуемые моменты, без причины;
- Приступы рвоты, тошноты, зачастую в утреннее время суток;
- Нарушение зрительной функции;
- Проблемы с равновесием, координацией;
- Периодическое ощущение дезориентации;
- Усталость, постоянное желание спать.
Диагностика и лечение шишковидного новообразования в мозге
Для формирования точного плана диагностики врач должен провести комплексный опрос, осмотр пациента, выявить все особенности симптоматики. Обязательно назначается магнитно-резонансная томография. Магистральные сосуды головного мозга проверяются с помощью дуплексного сканирования.
Зачастую злокачественные образования гипофиза принимают за кисту. Они имеют общую симптоматику, схожий внешний вид. Чтобы исключить раковые опухоли, больных направляют на биопсию. Лабораторные исследования образца материала позволят точно диагностировать онкологию.
Шишковидная киста не требует резекции, если:
- Отсутствует риск развития гидроцефалии;
- Опухоль не влияет на работу сердца;
- Образование не вызывает нарушений в прилегающих мозговых участках, сосудах.
Лечение шишковидной кисты в Tel Aviv Medical Clinic
Ведущая израильская клиника Tel Aviv Medical Clinic обеспечивает пациентов высококлассным, прогрессивным лечением, профессиональным уходом. Все врачи клиники – высококвалифицированные специалисты высшей категории. Они имеют огромный опыт работы, принимают участие в международных научных симпозиумах, конференциях, в мировых разработках новейших методик лечения нейрохирургических заболеваний. Благодаря ультрасовременному, дорогостоящему оборудованию, диагностика проводится с максимальной четкостью, лечение – высокоэффективное, безопасное.

























