
В основе развития опухоли в спинном мозге лежат леммоциты – шванноские клетки. Они присутствуют в нервных тканях, выполняя вспомогательные функции. Формируется клеточная оболочка с длинными отростками нервных клеток. Основное место дислокации – периферические нервы, ганглии. Шванномы относят к категории доброкачественных образований. Каждый нерв покрывается оболочкой, в основе которой лежат шванновские клетки. Это является основной причиной образования патологии в спинномозговых нервах.
Болезнь может поразить различные нервы. Чаще всего она дислоцируется в подкожном слое, мягких тканях организма. При увеличении новообразования происходит повреждение нервов, их сдавливание.
Симптоматика шванномы
Симптоматика патологии во многом зависит от места расположения опухоли. Она обладает различной интенсивностью, длительностью, течением. При некоторых локализация шванномы не вызывают симптомов у человека. К общим признакам развития болезни относят:
- Парез или паралич;
- Затрудненную речь;
- Нарушения в работе внутренних органов;
- Сбои в системных процессах организма.
Шваннома – доброкачественное новообразование, дислоцирующееся в центральной нервной системе. Оно увеличивается медленно. Из-за отсутствия ярко выраженных симптомов, определить болезнь сложно. Ее часто выявляют при плановом осмотре.
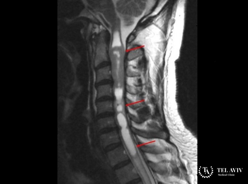
Как диагностировать шванному
Для составления первичного анамнеза рекомендуется использование стандартных методик исследования:
- Неврологического осмотра;
- Электронейромиографии – позволяет исследовать периферические нервы;
- Компьютерную томографию для визуализации новообразования;
- Магнитно-резонансную томографию – для выявления формы, локализации, размеров патологии;
- Ультразвуковое исследование при расположении шванномы в мягкой ткани;
- Биопсию с целью определения злокачественности новообразования.
Лечение шванномы в Tel Aviv Medical Clinic
Высококвалифицированные врачи известной израильской клиники Tel Aviv Medical Clinic обладают ультрасовременным оборудованием, огромным опытом работы. Это позволяет им проводить высококлассную, точнейшую диагностику заболеваний, разрабатывать результативные программы лечения каждого пациента.

























